Тайм-фактор инструкция по применению, цена на Тайм-фактор – купить в Москве от 571 руб., недорого,…
Рубрика “Климакс”
Категория: Климакс
Родительская категория:
Обзор эффективных таблеток при климаксе Постепенное снижение репродуктивной функции – климакс, сильно ухудшает качество жизни…
Методики проведения массажа в период менопаузы Практически каждой женщине во время менопаузы приходится иметь дело…
Таблетки при головокружении при климаксе В период менопаузы происходит перестройка всего женского организма, его систем…
Ци-Клим — инструкция по применению, аналоги и отзывы, сколько стоит? Очень многие женщины проходят такой…
Тибетская гормональная гимнастика при климаксе Физические упражнения чрезвычайно важны во время наступления климакса, в особенности…
Точки хиджамы при климаксе Предлагаем вашему вниманию подробное, поэтапное описание процедуры лечения «Хиджама» (hijama, cupping…
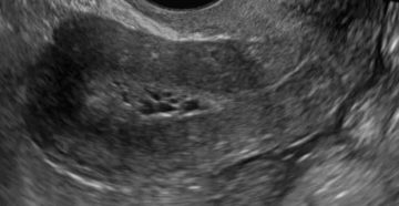
Гиперплазия эндометрия матки в менопаузу: что это такое, симптомы, причины, лечение Патология является следствием излишне…
У моей матери климакс в 42 Мочеполовая система » Климакс » У моей матери климакс…
Как избавиться от гормональных прыщей Гормональные прыщи: причины появления и методы лечения Гормональные прыщи Гормональные…










