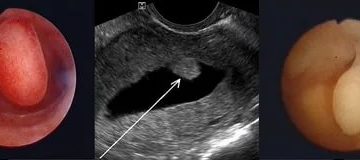
Полипы и климактерический период Климактерический период — это особенный этап жизни женщины, который характеризуются угасанием…
Рубрика “Мочеполовая система”
Категория: Мочеполовая система
Особенности изменений в матке до менструации Менструация возникает у женщин ежемесячно. Физиологический процесс провоцирует ряд…
Может ли эмбрион прикрепиться во время месячных Отличий практические нет В силу схожести по внешним…
Нарушения менструального цикла: причины, диагностика и лечение Нарушения менструального цикла (НМЦ) – это не патология,…
Может ли при месячных быть овуляция Про период овуляции и влияние этого процесса на зачатие…
Витамины для нормализации менструального цикла: как принимать, список, противопоказания Нерегулярные месячные – один из основных…
Ярина (Ярина плюс) и месячные Многих женщин волнуют вопросы о характере менструального цикла во время…
При цистите болит низ живота: что делать? При цистите болит низ живота – это частая…
Сахарный диабет и месячные Что говорят врачи о сахарном диабете Доктор медицинских наук, профессор Аронова…
Частое мочеиспускание перед месячными у женщин О приближении месячных женщины узнают не только по календарю,…










