Эндометриоз послеоперационного рубца передней брюшной стенки операция

Содержание

Эндометриоз послеоперационного рубца передней брюшной стенки операция

Эндометриоз послеоперационного рубца передней брюшной стенки операция

Эндометриоз можно отнести к самым неприятным гинекологическим патологиям. Лечить эту болезнь сложно, так как не установлено, почему в организме образуются эндометроидные очаги.

В группу риска попадают женщины, которым были проведены операции половых органов, например, прерывание беременности или устранение новообразований в матке.

Попробуем выяснить, из-за чего возникает эндометриоз после кесарева сечения, а также рассмотрим симптомы и лечение этой патологии.

В чем причина

Почему появляется эндометриоз и как он развивается? До конца этот вопрос еще не выяснен. Все методики борьбы с заболеванием построены на лабораторных исследованиях. Принято считать, что очаги эндометриоза состоят из ткани, похожей на внутренний маточный слой. Как и эндометрий, во время месячных они отторгаются, а после – вновь разрастаются.

Очаги болезни, расположенные на других женских органах, увеличиваются при менструации. К примеру, в яичнике образуется киста, где скапливается кровь и эпителий. Из-за этого начинаются боли, как в спокойном состоянии, так и во время физической активности, в том числе, при половом акте. Спазмы могут быть настолько нестерпимыми, что женщина обращается к врачу.

Кесарево сечение представляет собой проникновение внутрь матки через специальный, хирургический разрез. После извлечения ребенка осуществляется ликвидация последа, а иногда требуется выскабливание.

Из-за этих процедур клетки эндометрия распространяются во внутренние мышечные слои органа и переднюю брюшную стенку.

Есть предположение, что очаги болезни могут перемещаться через кровь и лимфу, чем можно объяснить ее развитие спустя несколько лет после хирургического вмешательства.

Патология может проявиться первично или вторично. Признаки появления эндометриоза после разреза матки дают о себе знать сразу. Пациентка жалуется на симптомы, которых раньше не наблюдалось и обращается за помощью. Но бывают случаи, когда проводится кесарево при эндометриозе, не диагностированном ранее. Тогда после операции болезнь прогрессирует.

Подведем итог, почему же возникает и развивается патология:

  1. Болезнь уже существовала, но протекала без симптомов или с невыраженной клинической картиной.
  2. Любая операция, предшествовавшая кесареву сечению: ликвидация внематочной беременности, выскабливание, устранение фиброматозных узлов.
  3. Повторение кесарева сечения.
  4. Потеря большого количества крови при операции и другие последствия.
  5. Широкое операционное поле.

Более подробно о болезни читаем в статье — эндометриоз матки: симптомы и лечение

Виды и симптомы

Как проявляется эндометриоз? Это связано с выраженностью очагов заболевания и тем, выявлялось ли оно раньше.

Обычно первые признаки отмечаются спустя 1-3 года после операции. Женщина жалуется на новые неприятные симптомы или усиление уже существующих. Как правило, это боли или выделения из рубца.

Известно несколько видов эндометриоза после кесарева сечения:

  • очаги в месте локализации рубца на коже, в мышцах или брюшной стенке;
  • патология маточной стенки в области шва;
  • эндоментриоз во всем органе;
  • развитие патологии в тканях, расположенных рядом

У каждого вида эндоментриоза есть свои особенности симптоматики.

Эндометриоз послеоперационного рубца

В данном случае локализация дефекта такова, что его можно рассмотреть. Но диагностику это не упрощает. Часто эндометриоз рубца после кесарева сечения путают с разными инфильтратами и пытаются их лечить рассасывающими препаратами, физиопроцедурами. Симптомы заболевания при этом только усиливаются.

Эндометриоз данной формы может вызывать приступы тошноты и рвоты. При менструации идут коричневато-бурые мажущие выделения. Чем их больше, тем меньше ощущается спазм.

Во время обострения на передней брюшной стенке можно нащупать уплотнения разной формы, которые могут достигать 10-15 см в длину. При появлении этих конгломератов прямо под кожей легко увидеть их цвет, меняющийся в ходе цикла с коричневого на синеватый. Иногда образуются маленькие отверстия, из которых во время месячных выделяется бурая жидкость.

Цвет кожи в месте рубца и уплотнений коричневый, насыщенный или слабо выраженный. Кроме этого, у некоторых женщин наблюдается сильный зуд или усиленная влажность в области узлов.

Эндометриоз шва

Не имеет симптоматики, отличающейся от обычной формы поражения, не связанной с операцией.

Если источник заболевания локализован рядом с мочевым пузырем, в нем ощущается сдавливание, дискомфорт, тяжесть и частые позывы к мочеиспусканию. Когда очаги прорастают в стенку, при анализе в моче находят эритроциты или воспаление.

Источник: https://womaninred.ru/jendometrioz-posleoperacionnogo-rubca-perednej-2/

Эндометриоз послеоперационного рубца, лечение и симптомы

Эндометриоз послеоперационного рубца передней брюшной стенки операция

Экстрагенитальный эндометриоз достаточно редко встречается в практике, но самым частым его проявлением является эндометриоз после кесарева сечения. Он возникает по причине того, что после вскрытия матки клетки эндометрия попадают на края раны и начинают там функционировать и развиваться.

Эндометриоз послеоперационного рубца 

Эндометриоз послеоперационного рубца был известен уже в прошлом столетии, в 1934 году были описано около 200 больных эндометриозом, возникшем после проведения операций с лапаротомией (разрезом брюшной стенки).

На сегодняшний день у некоторых женщин эндометриоз послеоперационного рубца по передней брюшной стенки может быть единственным проявлением этой болезни, однако у других он сочетается с эндометриозом брюшины или органов малого таза.

Как развивается     

Большинство специалистов придерживается мнения, что эндометриоз рубца возникает следующим образом: при проведении гинекологических операций во время которых вскрывается полость матки, создается благоприятная возможность для кусочков эндометрия (слой, который выстилает матку) попасть на край операционной раны. Это мнение описано в имплантационной теории развития эндометриоза.

Проведение следующих операций может вызвать появление эндометриоза в рубцах:

  1. Кесарево сечение – наиболее часто.
  2. Удаление матки, больших миом, эндометриозных кист яичников.
  3. Достаточно редко при операциях на маточных трубах, при внематочной беременности и других гинекологических заболеваниях.
  4. Крайне редко при проведении негинекологических операций – удаление аппендицита, грыжи, резекции желудка и кишки и другое.

Как правило (но так бывает не всегда), эндометриоз кожного рубца развивается намного стремительней после гинекологических операций, он возникает в течение 6 месяцев – 3 лет, после негинекологических операций он может проявиться спустя 5 и более лет.

В настоящее время по причине редкого использования лапаротомии наиболее возможно развитие эндометриоза после кесарева сечения, т. к. количество таких операций возросло, а большинство других операцией стало производиться с помощью лапароскопии.

Симптомы эндометриоза после кесарева сечения

Нередко симптомы эндометриоза после кесарева сечения путают с воспалительными процессами и назначают рассасывающие лечение рубцов, в том числе и тепло, от которых пациентке становится все хуже и хуже.

Можно отметить следующие симптомы эндометриоза после кесарева сечения:

  1. Боли перед или во время менструации в области шва. Боли могут иметь разный характер: ноющий и постоянный или колющий и приступообразный.
  2. Во время приступов боли женщину может тошнить, у нее кружится голова.
  3. Во время месячных могут появляться выделения коричневого цвета из рубца, обильность выделений уменьшают боль.
  4. В области шва после кесарева сечения можно прощупать узлы, бугорки размером с вишню. Они также меняют цвет во время менструации с синего до коричневого.
  5. Пациентки отмечают зуд в области рубца после кесарева.
  6. Шов отличается повышенной влажностью кожи.

Диагностика

Казалось бы, современные приборы должны помочь быстро диагностировать эндометриоз после кесарева сечения, однако это не так. Дело в том, что локализация очагов на передней брюшной стенки напоминает по признакам другие осложнения, например:

  1. Шовные гранулемы.
  2. Послеоперационную грыжу.
  3. Первичный или метастатический рак.

Кроме этого признаки генитального и экстрагенитального эндометриоза на ультразвуковом обследовании (УЗИ) сильно отличаются. Самым опасным осложнением эндометриоза после кесарева сечения является его перерождение в рак – это бывает крайне редко, однако при диагностике необходимо сохранять онкологическую настороженность.

Врачу нужно учитывать жалобы пациентки в случае совпадения следующих факторов: возле рубца после лапаротомии образовались уплотнения, которые болят постоянно или периодически болит низ живота, он должен назначить УЗИ с цветовой допплерометрией. Необходимо тщательно обследовать переднюю брюшную стенку и органы брюшины и малого таза.

Однако, установить окончательную область поражения и всю его глубину возможно только при проведении хирургического лечения.

При удалении патологических очагов над ними проводиться гистологическое исследование, которое должно обнаружить не менее двух следующих признаков: эндометриальный эпителий, железы, стромы. В 25% случае таких признаков не находят, однако в 25% случае эти признаке обнаруживают в брюшине без каких-либо визуальных изменений.  

Лечение      

Лечение любой формы эндометриоза разделяется на 3 этапа – медикаментозное, хиругическое, комбинированное.

Первоначально пробуют лечить болезнь гормональными препаратами, если не помогает — назначают операцию.

В случае возникновения эндометриоза после кесарева сечения сразу делают операцию и для профилактики образований назначают медикаментозное лечение. То есть используют комбинированных метод терапии.

Хирургическое

Хирургическое лечение заключается в удалении патологических очагов в зоне послеоперационного шва передней брюшной стенки.

Объем операции зависит от распространенности процесса. Используют следующие методы:

  1. Лапароскопию – операция без вскрытия брюшной полости в случае небольших образований является самой безопасной и относительно легкой.
  2. Лапаротомия (вскрытие брюшной стенки) проводится в случае поражения соседних органов (мочевого пузыря, кишечника и других).

Во время операции стараются восстановить целостность органов и удалить все патологические образования. Женщина должна в течение 5-7 суток находиться под наблюдением в стационаре.

Медикаментозное

Необходимость профилактического лечения после операции является дискуссионным вопросом, если операция была выполнена в полном объеме, то, как правило, рецидивов не наблюдается, однако гормональные препараты могут назначить, опасаясь рецидивов. Основными препаратами для профилактики рецидивов являются:

  • Комбинированные оральные контрацептивы – Жаннин, Силует и другие. Они назначаются также в целях предохранения от беременности.
  • Прогестагены – эти препараты назначаются наиболее часто, основным представителем является диеногест или Визанна, под его действием у женщины развивается аменорея, которая способствуют малому нарастанию эндометрия.

По клиническим наблюдениям, если операция была проведена успешна, и все очаги были удалены, то у женщин, не принимавших гормональных препаратов в течение 5 лет после хирургического вмешательства не возникло никаких рецидивирующих явлений, поэтому вопрос необходимости гормональной профилактической терапии остается дискуссионным.

Для облегчения боли до хирургического лечения женщине могут назначить нестероидные противовоспалительные препараты (НПВП) – диклофенак, ибупрофен и другие. Однако злоупотреблять ими не стоит по причине их патологического влияния на сердечно-сосудистую систему.

Профилактические действия

К счастью, эндометриоз после кесарева сечения возникает очень редко, поэтому он достаточно мало изучен. Ответить точно вопрос: почему у некоторых он возникает, а у всех остальных его нет – очень трудно.

Определенные вещи в проведении операции кесарева сечения зависит от хирурга, считается, что он может занести кусочки эндометрия на своих перчатках, используемых инструментах, салфетках, однако это также является спорным мнением.

Женщины, которые в своем анамнезе имеют диагностические выскабливания, аборты и другие операции на матке с большей вероятностью могут столкнуться с эндометриозом после кесарева сечения.

Источник: https://VrachMatki.ru/endometrioz/posleoperatsionnogo-rubtsa

Эндометриоз послеоперационного рубца: почему возникает после кесарева, лечение и удаление при образовании на шве, как проходят роды

Эндометриоз послеоперационного рубца передней брюшной стенки операция

Эндометриоз послеоперационного рубца после кесарева характеризуется появлением клеток эндометрия в области бывшей раны. Эти клетки подвержены циклическим изменениям с соответствующей симптоматикой: болями в зоне шва и появлением темных выделений накануне и во время менструаций.

Заболевание развивается постепенно. опасность – постоянный дискомфорт в области поражения, боли, риск присоединения воспалительного процесса. Также у женщин с эндометриозом рубца выше риск обнаружения подобных очагов в других органах и тканях. 

Хирургическое удаление эндометриоидных образований считается наиболее эффективным и позволяет полностью устранить этот процесс в рубце. Прием гормональных препаратов не имеет доказанной эффективности в этом случае. Для профилактики образования эндометриоза следует соблюдать все рекомендации после первой операции и обследоваться до беременности на предмет наличия этой патологии.

Эндометриоз послеоперационного рубца – заболевание, при котором клетки внутреннего слоя матки – эндометрия –располагаются в области бывшей раны. Они могут разрастаться как в самой коже, так и в области подкожной жировой клетчатки, апоневроза, мышц.

Женщину беспокоят боли в области послеоперационного рубца, при поверхностном расположении – выделения темного цвета. Все симптомы усиливаются накануне и во время месячных.

Рекомендуем прочитать статью о том, почему болит шов после кесарева. Из нее вы узнаете, почему болит шов после кесарева, как может заживать в норме и при патологии, а также о профилактике осложнений.

А здесь подробнее о лигатурном свище послеоперационного рубца.

Причины возникновения эндометриоза после кесарева сечения

Эндометриоз развивается после кесарева сечения тогда, когда клетки эндометрия или сходной с ним ткани «мигрируют» в разные области послеоперационной раны и начинают свой циклический рост с соответствующими изменениями.

В науке еще не открыта точная причина развития этого заболевания, но выделяют предполагаемые варианты:

  • Заболевание существовало у женщины и до операции, но стрессовое вмешательство привело к появлению новых очагов в области рубца.
  • При разрезе брюшной полости и матки и извлечении ребенка клетки внутреннего слоя распространяются на окружающие структуры и могут там задержаться и начать свой рост.
  • После кесарева нарушается иммунитет женщины, а также происходят гормональные сбои, которые способствуют появлению в рубце особых эндометриоидных элементов.
  • В послеоперационном периоде развиваются осложнения воспалительного и инфекционного характера, которые способствуют попаданию клеток в область рубца с отделяемым или кровью.
  • Широкое операционное поле не позволяет провести полную санацию, и в рану попадают клетки эндометрия, повторные операции кесарева увеличивают этот риск.
  • В области рубца из-за активного роста соединительной ткани начинаются метапластические процессы, которые могут перейти в эндометриоз.

Таким образом можно выделить некоторые факторы риска заболевания:

  • обширное повреждение тканей в ходе операции;
  • частые операции на половых органах;
  • повторное кесарево;
  • гиперпластичный и келоидный рубец, нарушение процессов регенерации;
  • сбой в иммунитете;
  • гормональные нарушения после кесарева;
  • развитие осложнений после операции на гениталиях.

Виды и симптомы, если рубца, передней брюшной стенки, матки, брюшной полости

Эндометриоз после операции делится на несколько видов в зависимости от локализации: рубца и передней брюшной стенки, матки, органов брюшной полости. Все проявления имеют соответствующие симптомы.

Локализация (вид) Симптомы
Рубец и передняя брюшная стенка: клетки могут проникать в область рубцовой ткани и между мышечными волокнами передней брюшной стенки Боли в области рубца, по передней поверхности стенки после операции. Усиливаются перед менструациями, затем исчезают. Из рубца выделяется темно-коричневое отделяемое при месячных, могут быть ациклические кровотечения.В дне шва – небольшие кистозные образования различных размеров, средней плотности. Перед менструаций меняют свой цвет на темно-красный или цианотичный. В области рубца кожный зуд, дискомфорт.
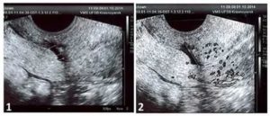
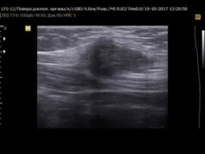
Матка За несколько дней до и после менструаций усиление болей, тянущие боли внизу живота в течение цикла. Появление мажущих кровянистых выделений, нарушение цикла, выраженная болезненность месячных.Боль наблюдается при половых контактах. На УЗИ выделяют разрастание слоя матки, утолщение, в стенке формируются узлы и мелкие кисты. Часто женщины страдают бесплодием.
Брюшная полость В брюшной полости чаще всего поражается выделительная система и кишечник. В первом случае появляется:

  • кровь в моче в течение месячных, может быть и в другое время – ациклически;
  • боли над лобком;
  • боль при мочеиспускании;
  • затруднение мочеиспускания.

При поражении кишечника:

  • выделение крови с калом;
  • боль по ходу кишки;
  • болезненная дефекация;
  • нарушение кишечного пищеварения.Все симптомы закономерно усиливаются в период менструаций.

Как развивается заболевание

Заболевание развивается постепенно. Клеткам эндометрия в области рубца нужно время для роста. Затем они начинают циклически изменяться, как это в норме происходит в матке.

Со временем образуются узлы и кисты, которые представляют собой отграниченные скопления эндометриоидной ткани. Из таких образований возможно более массивное кровотечение.

Рост увеличивает шансы процесса на распространение и появление эндометриоза в соседних органах и областях.

В чем опасность

Эндометриоз нарушает работу половой системы: у женщины может возникнуть нарушение цикла, а также бесплодие. Постоянно увеличенная кровопотеря приведет к анемии.

Есть исследования, указывающие на более высокий риск развития злокачественных образований у пациенток, страдающих эндометриозом.

В области рубца может развиться воспалительная реакция, которая нарушит его целостность. В отдаленной перспективе это приведет к истончению рубцовой ткани и сложностям в последующих беременностях. Эндометриоидные кисты представляют собой опасность с точки зрения кровотечения: их очень трудно остановить.

Как диагностируют эндометриоз операционного рубца после кесарева

Эндометриоз послеоперационного рубца после кесарева диагностируют на основании клинических симптомов и методов лабораторно-инструментальной диагностики:

  • Визуальный осмотр: в области рубца можно обнаружить кровотечение и следы воспаления (отек, гиперемия, изменение температуры). Если пациентка обратилась во время месячных, то можно наблюдать и само отделяемое.
  • Ультразвуковое исследование – выявляет неравномерное утолщение в передней брюшной стенке, появление маленьких узлов и кист. Для дополнительной диагностики можно провести и УЗИ органов малого таза на предмет наличия очагов в половых органах, что нередко сопутствует поражению рубца.
  • Гистероскопия – осмотр полости матки и слизистых влагалища для выявления других очагов.
  • В анализе крови будут наблюдаться признаки анемии: снижение количества эритроцитов и гемоглобина, возможно повышение СОЭ и лейкоцитов.
  • В спорных случаях можно сделать пункцию объемного образования для получения материала для цитологического обследования.
  • Информативным способом является МРТ малого таза и брюшной полости.

Лечение эндометриоза послеоперационного рубца после кесарева

В случае локализации эндометриоза в области послеоперационного рубца после кесарева предпочитают хирургический способ удаления очагов. Но возможны и консервативные методы – прием гормональных препаратов для подавления роста и активности эндометриоза.

Делают ли удаление хирургическим путем

Удаление хирургическим путем является основным методом лечения эндометриоза данной локализации.

Операция проходит по плану:

  1. разрез по предыдущему старому рубцу в проекции эндометриодного образования;
  2. гемостаз;
  3. киста или узел выделяется в пределах здоровых тканей;
  4. удаление кисты или узла;
  5. наложение нового шва с соблюдением предосторожности, чтобы не распространить эндометриоидные элементы.

Часто киста и узел спаиваются с соединительнотканными образованиями в передней брюшной стенке – апоневрозом. Тогда трудно выделить образование, приходится удалять инфильтрат с образованием дефекта. Его закрывают синтетическим сетчатым полипропиленовым лоскутом в форме «заплатки», как при грыжесечении.

После операции действуют жесткие ограничения по уходу за областью: не мочить, не нагружать, носить натуральные ткани и ничем не мазать.

Консервативное лечение шва

При эндометриозе могут назначать гормональные препараты для прекращения циклических изменений в тканях:

  • оральные контрацептивы – Новинет, Регулон, Джес и другие;
  • гестагены – Дюфастон и пр.;
  • агонист и анатагонсты гонадотропинрилизинг-гормона – например, Бусерелин.

При эндометриозе рубца применение препаратов не показало достаточной эффективности, поэтому используется реже.

Может ли пройти самостоятельно

Поражение операционного рубца не пройдет самостоятельно. Процесс имеет тенденцию к развитию и даже распространению, что требует обязательного лечения.

К какому врачу надо обратиться

Сначала надо обратиться к гинекологу для постановки диагноза. Поскольку лечение заболевания хирургическое, то в дальнейшем потребуется госпитализация в гинекологическое отделение, где оперирующие акушеры-гинекологи удалят инфильтрат.

В общей хирургии возможно проведение операции, но она требует более специфических знаний и подхода, что возможно только в гинекологических стационарах. К хирургу можно обратиться в рамках дифференциальной диагностики при необходимости.

Смотрите на видео о диагностике и лечении эндометриоза:

Возможны ли роды с эндометриозом рубца

Роды с эндометриозом рубца возможны, если было проведено хирургическое лечение и удаление очагов заболевания. Зачастую этого достаточно для выздоровления. Нужно проследить, чтобы рубец зажил, и через полгода можно планировать беременность при состоятельности шва.

Если рубец с эндометриозом не лечился, то вынашивание и роды могут вызвать дополнительную повышенную нагрузку и кровотечения из шва. Если очаг небольшой, беременность может пройти без осложнений. В целом же гормональный фон при вынашивании стабилизирует процесс: новые элементы не образуются, а проведенное ранее хирургическое лечение оказывается успешным.

Выполняют ли кесарево сечение при патологии

При данной патологии выполняют кесарево сечение, но его проведение требует повышенного внимания к состоянию рубцовых тканей.

Во время операции нужно соблюдать аккуратную технику, чтобы не занести в рану клетки эндометрия и не травмировать органы. Используют отграничение операционного поля, смену инструментария, салфетки.

Настоятельно рекомендуется удалить эндометриоидные кисты и узлы до наступления беременности.

Профилактика появления эндометриоза кожного рубца

Профилактика эндометриоза кожного рубца у беременной включает:

  • ведение здорового образа жизни;
  • полноценное питание и сон;
  • избегать стрессы и переохлаждения;
  • избегать заражения инфекциями мочеполовой системы, в том числе заболеваниями, передающимися половым путем;
  • соблюдать двигательные и общие ограничения после операции;
  • проводить туалет половых органов по указанным правилам при регенерации рубца;
  • принимать гормональные препараты после консультации с врачом;
  • носить до и послеродовой бандаж.

Пример рациона после кесарева сечения

Во многом риск развития патологии этой локализации обусловлен техникой самой операции, что больше зависит от оперирующего акушера-гинеколога. К выбору врача следует подойти внимательно и акцентировать свои опасения по этому поводу.

Перед наступлением беременности нужно обследоваться, чтобы исключить наличие других локализаций эндометриоза, что существенно повысит шансы на развитие процесса в области рубца.

Рекомендуем прочитать статью о спайках после кесарево. Из нее вы узнаете о причинах появления спаек после кесарева, где они бывают и как избежать их появления.

А здесь подробнее о сокращении матки после родов.

Источник: https://kesarevo.online/endometrioz-posleoperaczionnogo-rubcza/

Эндометриоз шва и послеоперационного рубца после кесарева сечения

Эндометриоз послеоперационного рубца передней брюшной стенки операция

Эндометриоз можно отнести к самым неприятным гинекологическим патологиям. Лечить эту болезнь сложно, так как не установлено, почему в организме образуются эндометроидные очаги.

В группу риска попадают женщины, которым были проведены операции половых органов, например, прерывание беременности или устранение новообразований в матке.

Попробуем выяснить, из-за чего возникает эндометриоз после кесарева сечения, а также рассмотрим симптомы и лечение этой патологии.

Лечение

Эндометриоз небезопасен для жизни женщины, поскольку вызывает сильные кровотечения, располагаясь даже на передней брюшной стенке. При распространении очагов заболевания в кожу или жировой слой возможно развитие раковой опухоли.

Потому первые симптомы патологии — повод для немедленного обращения к врачу. Только тогда с эндометриозом можно будет справиться.

Устранить болезнь навсегда невозможно, однако надолго избавиться от ее признаков и затормозить развитие вполне реально.

Женщины, перенесшие кесарево сечение, могут выбрать один из вариантов лечения: консервативный и операционный.

Хирургическое вмешательство может быть таким:

  1. Прижигание очагов при гистероскопии.
  2. Удаление пораженных участков во время лапароскопии: рассечение спаек и коагуляция очагов болезни. Данный способ считается самым эффективным в лечении этой патологии. Ведь благодаря оптике прибора можно заметить даже мельчайшие скопления эндометрия.
  3. Ножевое удаление эндометриоза послеоперационного рубца с обширным иссечением кожи. Выполняется, когда дефект локализован на передней брюшной стенке. Большой объем операции в дальнейшем может потребовать пластических процедур.

Эндометриоз является гормонозависимым диагнозом, поэтому невозможно вылечить его одной операцией. Как правило, дополнительно проводят консервативную терапию, чтобы предотвратить возобновление симптомов. С этой целью применяется несколько гормональных препаратов. Они препятствуют выбросу активных веществ, способствуя угасанию источников болезни. В лечение применяют:

  • стандартные противозачаточные таблетки;
  • гестагены, к примеру, Дюфастон;
  • Золадекс, Диферелин, Бусерелин

При приеме двух последних групп лекарств наступает «псевдоменопауза» с характерными приливами. Такие препараты нужно принимать от 3 месяцев до полугода, после чего яичники начинают нормально функционировать.

Помимо гормональных таблеток используется дополнительная терапия: противовоспалительные средства и спазмолитики для снятия боли.

Благодаря вовремя проведенной диагностике и правильному лечению развитие эндометриоза удается остановить, тем самым не допуская тяжелых последствий.

Источник: https://MatkaMed.ru/endometrij/endometrioz-posle-kesareva-secheniya

Библиографическое описание:

Источник: https://kimpoint.ru/simptomy/endometrioz-posleoperatsionnogo-rubtsa-perednej-bryushnoj-stenki-operatsiya.html

Поделиться:
Нет комментариев

Добавить комментарий

Ваш e-mail не будет опубликован. Все поля обязательны для заполнения.