При каких размерах кисты яичника показана операция Авторы | Последнее обновление: 2019 Киста яичника –…
Рубрика “Мочеполовая система”
Категория: Мочеполовая система
В какой период лучше делать и что может показать узи молочных желез Современные медицинские клиники…
Йога при поликистозе яичников Синдром поликистозных яичников (или поликистоз яичников) представляет собой эндокринное (гормональное) заболевание,…
Когда беременеть после рассасывания кисты яичника » Лечение народными средствами Итак, киста яичника – это…
Прижигание кисты шейки матки — показания, способы, противопоказания Прижигание кисты шейки матки может быть необходимо…
Питание после лапароскопии Лапароскопия – это операция, целью которой является диагностика заболевания или его хирургическое…
Когда узи показывает кисту желтого тела Организм женщины имеет очень интересное строение и функции. В…
Когда нужно делать операцию если есть поликистоз яичников Хирургическое вмешательство часто используется в гинекологии, когда…
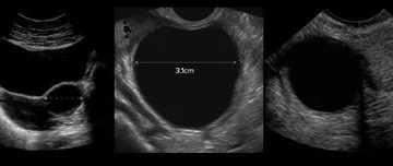
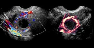
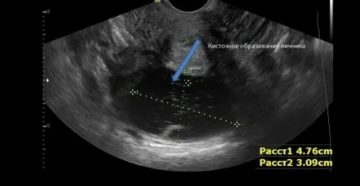
Киста яичника на УЗИ Яичники — это парные органы, имеющие огромное значение при зачатии. Именно…
Сиофор 500. инструкция по применению для похудения, при сахарном диабете, поликистозе яичников. как принимать таблетки,…










