Когда узи показывает кисту желтого тела

Содержание

Когда узи показывает кисту желтого тела

Когда узи показывает кисту желтого тела

Организм женщины имеет очень интересное строение и функции. В репродуктивном возрасте тело представительницы слабого пола подвергается ежемесячным изменениям.

Отследить тот или иной процесс помогают новейшие средства для диагностики, в частности аппаратура УЗИ. Такая методика позволяет специалистам более подробно узнать о состоянии репродуктивных органов.

Данная статья расскажет вам о том, что нужно делать, если на УЗИ показало желтое тело. Что это за образование – будет описано ниже.

Медик увидел желтое тело на УЗИ – что это значит? Ответ на данный вопрос вы получите после прочтения статьи.

Что такое желтое тело?

На УЗИ это образование обнаружить проще всего. Именно так зачастую женщины узнают о неведомом им пузырьке. Большинство представительниц слабого пола пугаются. Однако это не совсем правильно. Что же такое желтое тело? Перед тем как узнать о том, что означает обнаруженный элемент, стоит сказать о нем несколько слов.

Каждый месяц у здоровой женщины происходит менструация. Сразу после ее окончания в одном из яичников определяется доминантный фолликул. Именно он в ближайшие дни будет стремительно увеличиваться в размере.

Когда подойдет время и начнет вырабатываться лютеинизирующий гормон, фолликул разорвется и выпустит из своих стенок яйцеклетку. Эта гамета полностью готова к оплодотворению, которое может и не состояться.

На месте разрыва фолликула образуется новое скопление. Именно это образование и носит название «желтое тело». На УЗИ оно определяется довольно четко. Желтое тело необходимо для выработки прогестерона. Также в небольших количествах оно выделяет андрогены и эстрадиол.

Все эти гормоны необходимы для нормального прогрессирования беременности и завершения менструального цикла. В случае оплодотворения образование будет функционировать примерно еще три месяца. Если же зачатие не состоялось, желтое тело претерпевает обратное развитие.

На его месте образуется так называемое белое тело, которое увидеть во время ультразвуковой диагностики практически невозможно.

Обнаружено желтое тело в яичнике на УЗИ: стоит ли беспокоиться?

Что значит данное образование? Стоит ли женщине переживать по поводу его присутствия? Многие представительницы слабого пола сразу обращаются к гинекологу и требуют назначить им лечение. Усугубляет ситуацию тот случай, когда обнаружена киста желтого тела на УЗИ.

Медики говорят о том, что переживать в таком случае не стоит. Ничего страшного в появлении такого образования нет. Лечения новообразование не требует.

Даже если во время исследования ультразвуком обнаружена киста желтого тела, то она является функциональной. В большинстве случаев она претерпевает обратное развитие в течение нескольких месяцев.

Попробуем разобраться, что значит, если обнаружено желтое тело на УЗИ.

Факт первый: женщина находится в репродуктивном возрасте

Фертильностью называется возможность женщины или мужчины зачать ребенка. Даже если в данном цикле не произошла овуляция, но в яичнике есть желтое тело, оставшееся с предыдущего месяца, то это свидетельствует о фертильности женщины. Стоит отметить, что об абсолютной способности к зачатию можно говорить только после учета остальных данных (состояния матки, фаллопиевых труб и так далее).

Факт второй: незадолго до исследования произошла овуляция

Желтое тело на УЗИ после овуляции может быть обнаружено уже через несколько часов. Так, если специалист говорит о присутствии этого образования, то, скорее всего, несколько дней назад произошел разрыв фолликула.

Раз в месяц у женщины происходит овуляция. Во время этого процесса фолликул покидает гамета, которая способна к оплодотворению.

Если в этот период произойдет половой контакт без использования средств контрацепции, то представительница слабого пола в скором времени может узнать о своей беременности. Желтое тело никогда не образуется в ановуляторном цикле.

Именно поэтому его присутствие в яичнике свидетельствует о недавнем разрыве доминантного фолликула.

Факт третий: беременность и желтое тело

Желтое тело при беременности на УЗИ можно увидеть примерно до 12 недель. Как вы знаете, данное образование выделяет очень важный гормон – прогестерон. Он поддерживает в норме состояние матки и способствует развитию беременности.

Если во время исследования специалист обнаруживает желтое тело, то вполне вероятно наступление беременности. Стоит отметить, что в большинстве случаев у женщин в интересном положении обнаруживается киста. Это то же самое железистое образование, однако несколько большего размера. Есть предположение, что таким оно становится из-за необходимости выделять большие порции прогестерона.

Факт четвертый: у женщины нормальный менструальный цикл

Иногда бывает так, что этот период у женщины становится очень коротким. Так, в норме цикл не должен длиться менее трех недель.

Когда же это время сокращается, медики ведут речь о прогестероновой недостаточности. Зачастую такие представительницы слабого пола долго не могут забеременеть и имеют некоторые проблемы со здоровьем.

Все из-за того, что после овуляции не вырабатывается нужное количество прогестерона.

Если же у представительницы слабого пола во время ультразвуковой диагностики обнаруживается желтое тело, то, скорее всего, ни о какой прогестероновой недостаточности не может быть и речи. Гормональный фон такой пациентки отлажен, а яичники функционируют правильно.

Факт пятый: идет вторая фаза менструального цикла

О чем еще может говорить присутствие желтого тела в яичнике, на УЗИ обнаруженное? Данное образование свидетельствует о том, что сейчас идет вторая фаза менструального цикла, и в скором времени придет менструация.

Желтое тело обычно функционирует от 10 до 14 суток. В этот период оно выделяет прогестерон и поддерживает маточный тонус. С окончанием данного времени железистое образование претерпевает обратное развитие. На его месте образуется небольшой рубец.

О чем говорит киста желтого тела, которую обнаружили во время ультразвукового исследования?

Кистой называется образование, которое в размере несколько превышает нормальные пропорции. Так, об увеличенном желтом теле речь идет тогда, когда его диаметр составляет более трех сантиметров.

Киста желтого тела может оставаться на яичнике в течение нескольких циклов. Если она не исчезла спустя два месяца, то пациентке может понадобиться небольшая коррекция.

В большинстве случаев медики назначают оральные контрацептивы на три или шесть месяцев. Подобное лечение способствует отдыху яичников. В результате овуляция прекращается на эти месяцы, и киста угасает.

Для подтверждения картины улучшения необходимо повторно провести ультразвуковое исследование и посетить гинеколога.

Осложнения, выявленные во время ультразвуковой диагностики. О чем говорит кровоизлияние в кисту желтого тела?

Желтое тело или киста в некоторых случаях могут принять геморрагическую форму. Это говорит о том, что произошло кровоизлияние в железистую полость. Такое осложнение, выявленное во время ультразвукового исследования, требует немедленного лечения. Зачастую оно проводится в стационаре и требует следующих назначений.

Пациентке прописывается постельный режим и эмоциональный покой. Также на область живота накладывается холодный компресс. Помимо этого, представительнице слабого пола рекомендуется принимать кровоостанавливающие препараты и успокоительные средства. После проведенной коррекции стоит обязательно провести диагностику и отметить наличие улучшений.

Подведение итогов

Итак, вы узнали, что такое желтое тело, обнаруженное на УЗИ. В некоторых случаях медики ошибаются и принимают патологические образования за железистую структуру, которая возникает после овуляции.

Обычное желтое тело не доставляет представительнице слабого пола никакого дискомфорта. Оно появляется после каждой овуляции и точно так же исчезает.

Если же специалист диагностировал кисту желтого тела, то это говорит о том, что исследование нужно провести повторно после менструации. Здоровья вам!

Что имеют в виду гинекологи и узисты, когда говорят, что в яичнике желтое тело? Что это такое, каким оно должно быть (и должно ли быть вообще), какую функцию выполняет в женском организме?

Функции желтого тела

Организм здоровой женщины — это своеобразный отлаженный механизм, который каждый месяц циклично выполняет свою работу: попытку зародить новую жизнь.

Если оплодотворения не случилось, созревшая яйцеклетка, оставшись неоплодотворенной, покинет организм, выйдя с менструальными выделениями.

А через месяц ситуация повторится, и это повторение — закономерность, подтверждающая, что женщина здорова, и вполне способа к деторождению.

Но не только яйцеклетка созревает каждый цикл. Для наступления потенциальной беременности необходимо еще и желтое тело.

Желтым (или иначе — лютеиновым) телом называется временная эндокринная железа яичника, которая получила такое название из-за желтоватого оттенка содержащегося в ней вещества — особого гормона беременности. Иногда для краткости его называют ЖТ.

Источник: https://ginekologiya-urologiya.ru/kista/kogda-uzi-pokazyvaet-kistu-zheltogo-tela

Киста желтого тела: 9 провоцирующих факторов, 4 симптома, методы лечения

Когда узи показывает кисту желтого тела

Желтое тело – железа временной секреции.

Образуется на месте фолликула, функционирует во второй половине женского цикла и продуцирует гормон прогестерон.

Если оплодотворения не произошло, она исчезает. Но иногда железа временной секреции не регрессирует – из нее начинает формироваться киста желтого тела правого или левого яичника.

Что такое киста жёлтого тела яичника

Такое опухолевое образование как киста желтого тела яичника формируется из капсулы небольших размеров, заполненной патологической жидкостью. Лютеиновая опухоль – это железа, сформировавшаяся в яичнике и способствующая воссозданию основного гормона — прогестерона, который влияет на менструальный цикл, беременность, развитие эмбриона человека.

Что такое киста жёлтого тела яичника

Киста получила свое название из-за оттенка: желтая оболочка наполнена красноватой жидкостью. По формированию опухоли определяют: наступила овуляция или нет.

Рассасываться начинает спустя 14 дней после овуляции. Весь процесс снижения функционирования новообразования называют регрессом. Если во время действия капсулы происходит зачатие, то она способна сохраниться на протяжении трех месяцев. Такой случай называется желтым телом беременности. Опухолевое образование не приносит вреда матери и плоду.

Основные причины образования кист жёлтого тела

Жёлтое тело — это временная железа, обладающая гормональной активностью, образуется из разорвавшегося во время овуляции фолликула под действием лютеинизирующего гормона (ЛГ). Само жёлтое тело вырабатывает прогестерон – гормон, играющий важную роль для благополучного развития беременности.

Если результатом овуляции стало оплодотворение, то жёлтое тело будет сохранять свою активность ещё в течение 10-12 недель гестации, до образования плаценты, после чего превратится в рубцовую ткань.

Если оплодотворение яйцеклетки не произошло, и беременность не наступила, то по завершении второй фазы менструального цикла, жёлтое тело яичника подвергается инволютивным превращениям, а продукция им прогестерона прекращается.

Эти изменения являются нормой для женского организма с установившимся двухфазным циклом.

Однако бывает так, что жёлтое тело своевременно не исчезает. Из остатков клеток лопнувшего фолликула формируется вначале капсула кисты. Далее образовавшуюся полость заполняет жидкость. Если в момент овуляции произошло кровоизлияние, то полость кисты заполняется кровью. По мере накопления жидкости или крови появляется тенденция к увеличению кистозной полости.

Несмотря на большой арсенал диагностических методов, вопрос о причинах возникновения лютеиновых кист остаётся не решённым. Специалисты полагают, что образование кист провоцируют нарушения кровоснабжения и лимфооттока внутренних половых органов.

К предрасполагающим факторам относятся:

  • гормональные нарушения и эндокринная патология, в том числе сахарный диабет, болезни щитовидной железы (гипотиреоз, гипертиреоз);
  • приём препаратов по протоколу стимуляции овуляции в плане терапиибесплодия и подготовки к ЭКО (Клостилбегит, Кломифен, Меногон, Прегнил и др.);
  • приём гормональных препаратов;
  • любое прерывание беременности, как самопроизвольное, так и аборт, медикаментозный и хирургический;
  • использование средств экстренной контрацепции (Постинор, Эскапел);
  • длительное голодание, анорексия, ожирение;
  • перегревание и переохлаждение, тяжелые физические нагрузки, хронический стресс — приводят к снижению защитных сил организма и провоцируют гормональные нарушения;
  • генетическая предрасположенность, склонность к опухолевым заболеваниям;
  • нерегулярная половая жизнь.

Виды кисты жёлтого тела яичника

Определяют четыре типа, которые различаются по двум признакам: наличию симптомов и осложнениями. Бессимптомная киста желтого тела яичника — это такой вид образования, при котором на протяжении нескольких циклов нет проявлений опухоли. Симптомная сопровождается болями в нижней части живота, раздражительностью и нарушениями в стабильности цикла месячных.

Если период развития кисты протекает без осложнений, то она рассасывается через две недели после овуляции. Такой вид образования называют неосложненный. Патология не вызывает опасности при самостоятельном регрессе, но осложнения — это серьезная проблема.

Симптомы, определяющие разрыв, внутреннее кровотечение, перекрут ножки:

  • обморочное состояние;
  • кровоизлияния;
  • повышенная температура;
  • резкие боли.

Происходит это как по вине человека (активная половая близости, поднятие тяжестей), так и из-за врожденных проблем (плохая свертываемость крови, сбит гормональный фон).

Источник: https://gb4miass74.ru/bolezni/kista-zheltogo-tela.html

Что значит желтое тело в правом или левом яичнике на УЗИ: функции, показатели нормы, фазы

Когда узи показывает кисту желтого тела

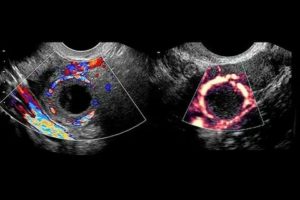
На снимках УЗИ желтое тело во время функционирования выглядит неодинаково. Его размер влияет на способность выносить ребенка, подсказывает о причинах бесплодия, развитии гинекологических болезней или эндокринных патологий. При отклонениях от нормы после сонографии женщину обследуют другими методами.

Как выглядит желтое тело на изображениях УЗИ

Желтым телом (ЖТ) называют лютеиновую железу, которая временно образуется в яичнике в опустевшем фолликуле после выхода из него яйцеклетки. Она начинает расти в день овуляции, продуцирует прогестерон. Гормон стимулирует утолщение эндометрия и формирование плаценты.

В гинекологии по размеру желтого тела в яичнике на УЗИ определяют степень готовности матки к вынашиванию ребенка. Если оплодотворения не было, ЖТ регрессирует (уменьшается), окончательно рубцуется через несколько дней. В случае зачатия железа функционирует первый триместр беременности, может остаться до родов или конца периода лактации.

Описание лютеиновой железы на УЗИ:

Параметры Эхопризнаки Как выглядит
Внешний вид Гетерогенное анэхогенное образование На яичнике округлое темно-серое пятно с черными вкраплениями и единичными белыми точками
Структура Гиперэхогенное образование с крупными зонами низкой плотности (гипо- или анэхогенными очагами) Серое пятно с большой площадью затемнений. Окрашены черным места скопления крови, локализации сосудов
Размер В норме до 30 мм, при образовании кисты – более 3 см Диаметр ЖТ сверяют с нормой по фазам желтого тела

Если диагност выявил два желтых тела или больше, в протоколе УЗИ описывается каждое образование. Растущая и угасающая железа неодинаково выглядит. С началом регрессии она уменьшается, светлеет. Черное пятно без вкраплений – эхопризнак жидкостной кисты.

Какие есть лютеиновые фазы

Цикл ЖТ начинается в овуляционный период. Лютеиновая железа быстро нарастает от стенок фолликула с момента выхода зрелой яйцеклетки. По ее наличию не определяется беременность. На раннем сроке зачатие подтверждают только анализом ХГЧ, на УЗИ яичника плодное яйцо не видно.

Выделяют 3 фазы временной железы:

  • формирование + развитие сосудов для кровоснабжения ЖТ;
  • секреторная стадия;
  • регресс (угасание, перерождение в белое тело).

Вначале оболочка разорванного фолликула смыкается, ускоряется рост оставшихся гранулезных клеток. Они образуют неплотную ткань. Кровеносные сосуды обильно прорастают внутрь железы. Эти две фазы длятся 3–4 суток.

Если на УЗИ не видно в правом и/или левом яичнике желтого тела, это означает, что у женщины нарушен овариальный цикл на фоне гинекологических или эндокринных болезней.

После достижения размера 1.5–2.5 см активно вырабатывается прогестерон в течение 1.5–2 недель. Цикл завершается в последний день перед менструацией. Если яйцеклетка оплодотворилась – секреторная стадия продолжается до 2-го триместра.

Как выглядит железа в овуляторный период

Овуляция приходится ровно на середину менструального цикла. УЗИ делают через пару суток после выхода яйцеклетки и за 0.5–1 неделю до предположительного начала месячных. Под ультразвуком железу не видно во время овуляции – она тонкая. Спустя 2–3 дня ЖТ уже заметно глазу в том яичнике, где лопнул зрелый фолликул.

Нормой считают созревание 1 яйцеклетки за овариальный цикл. Допустимы овуляции и рост желтых тел одновременно в правом и левом придатке или в 1 яичнике. К расстройствам относят образование ЖТ в нелопнувшем фолликуле (диаметр меньше 15 мм, отсутствие регрессии дольше 3 месяцев).

Вы можете посмотреть видео УЗИ, что происходит после овуляции:



Как выглядит железа во время беременности

Желтое тело в норме формируется независимо от оплодотворения яйцеклетки. Но после зачатия в женском организме появляется хорионический гонадотропин человека. Гормон ХГЧ стимулирует рост лютеиновой железы и не позволяет ей регрессировать.

Желтое тело при беременности называют гравидарным ЖТ. После оплодотворения видно анэхогенное (темное) образование размером 2.5–3 см. Регресс начинается после 10-й недели гестации.

Выявление на УЗИ нескольких ЖТ повышает шанс многоплодной беременности. Но количество детей зависит от того, сколько яйцеклеток успело оплодотвориться.

На какой день менструального цикла делают сонографию

Для выяснения функций яичника сонографию придатков делают несколько раз в промежутке между менструациями. Начинают на УЗИ отслеживать созревание лидирующего фолликула после месячных, а рост желтого тела – в постовуляторной фазе.

Сонографию ЖТ проводят:

  • через 2 недели от 1-го дня менструации;
  • спустя 23 дня от начала менструального цикла;
  • в конце 1-го триместра (в случае оплодотворения).

На УЗИ у небеременных женщин желтое тело по размеру одинаковое за 2 дня после овуляции и перед месячными. В этот период ЖТ меньше 15 мм. Между пиком развития и регрессией диаметр равен 18–25 мм. Увеличение до 3 см считается эхопризнаком внематочной или полноценной беременности, более 4 см – симптомом кисты.

Нормальная длительность менструального цикла

У женщин детородного возраста нормальный цикл равен четырем неделям. Не считается отклонением короткий или длинный МЦ в пределах 21–35 дней между менструациями. К нарушениям относят неодинаковую продолжительность циклов у одной пациентки. Сбой графика допускается только в предменопаузальный период после 40 лет.

При исследовании желтого тела учитывается фаза МЦ. УЗИ проводить нецелесообразно девочкам после первой менструации и женщинам во время месячных, до овуляции в период менопаузы.

Как выглядит киста

Диагностируют кисту (жидкостную полость) желтого тела на УЗИ при размере железы больше 3 см с одновременным появлением черного пятна без светлых вкраплений. Это образование на зачатие и беременность не влияет, может само регрессировать (исчезнуть). Женщину наблюдают 3 месяца. В случае быстрого роста кисты начинают лечение.

Жидкостную полость могут обнаружить в левом или в правом яичнике, где нет желтого тела. В этом случае черное пятно в придатке относят к признакам фолликулярной кисты, поликистоза.

Смотрите в видео как выглядит киста желтого тела на УЗИ:

Что означает отсутствие железы

В норме на УЗИ не выявляют лютеиновой железы в правом яичнике, потому что фолликул созрел в левом придатке (и наоборот). Отсутствие желтого тела в обеих гонадах относится к признакам ановуляторного цикла, дисфункции гипофиза. В этом месяце женщина забеременеть не сможет, поскольку нет созревшей яйцеклетки.

Желтое тело видно на УЗИ в промежутке между овуляцией и месячными следующего цикла. Размер ЖТ в рамках 18–25 мм означает, что матка готова к имплантации плодного яйца и вынашиванию ребенка.

Обнаружить железу не могут из-за устаревшего аппарата, неопытности диагноста, наличия болезни. Если ее не видно, делают контрольное УЗИ на другом сонографе.

При отсутствии ЖТ женщину дообследуют и назначают лечение.

В дополнение смотрите обзор доктора на тему нарушений цикла:



Источник: https://uziman.ru/mochepolovaya/na-uzi-zheltoe-telo

Желтое тело и его исследование методом УЗИ

Когда узи показывает кисту желтого тела

Чем больше о болезнях узнавали люди, тем более совершенные методы диагностики были им необходимы. После изобретения первых, например таких как рентгенография, появилась необходимость в безвредности и еще более высокой точности. Со временем появился и такой известный на сегодняшний день метод, как ультразвуковое исследование (УЗИ).

Внедряться он начал во всем мире с середины прошлого века, а на территории России, в большинстве клиник, появился во второй половине восьмидесятых годов, получив очень широкое распространение.

Особенно активно УЗИ применяется в гинекологии для диагностики множества патологий, таких как кисты, различные опухоли, воспалительные заболевания и др.

Эта методика применяется и у тех, кто планирует беременность или борется с бесплодием.

Более того, всем беременным женщинам необходимо регулярно проходить данное исследование, и делается в следующих целях: наблюдение за развитием плода и состоянием организма женщины.

Одним из элементов ультразвукового исследования при беременности или при ее планировании является изучение желтого тела.

Об УЗИ

Прежде, чем понять особенности в диагностике желтого тела на УЗИ, следует разобраться в работе аппарата. Как уже было сказано ранее — диагностика при помощи ультразвука была внедрена в медицину относительно недавно. Такая методика основана на ультразвуковых волнах, в природе ими пользуются летучие мыши.

Во время исследования, аппарат, через трансдьюсер (датчик который соприкасается с поверхностью кожи и его же врач постоянно перемещает, дабы изучить исследуемый орган в разных проекциях) испускает ультразвуковые волны заданной частоты, те в свою очередь отражаются от органов и возвращаются обратно, регистрируясь через датчик и визуализируются на мониторе аппарата.

Эти волны никак не вредят организму человека, что позволяет применять их в гинекологии и множество раз. Можно увидеть и небольшие элементы на УЗИ например — желтое тело.

Когда проводится УЗИ желтого тела

Просто так, естественно, проводить УЗИ желтого тела нет смысла. Чаще всего на ультразвуковое исследование женщины приходят по назначению врача-гинеколога. После консультации по поводу планирования беременности или когда у женщины никак не получается забеременеть, следует оценить овуляторную функцию.

Иногда могут быть подозрения на лютеиновую кисту, то есть кисту желтого тела. В этом случае УЗИ используется как основной диагностический метод исследования желтого тела или в качестве наблюдения за данной патологией в динамике. Ну и конечно же на ранних сроках всегда исследуют желтое тело при проведении УЗИ.

Итак, когда на УЗИ видно желтое тело? Исследование лютеиновой железы и женской репродуктивной системы в целом нельзя выполнить за одноразовое посещение кабинета УЗИ. Обычно гинеколог назначает 2-3 исследования в течении одного менструального цикла.

Первое рекомендуется сделать сразу после окончания менструального кровотечения, затем после окончания овуляции, то есть на 15-16 день, но эта дата также может изменяться, так как очень многое зависит от индивидуальных особенностей организма исследуемой женщины.

Именно эта дата очень важна, так как желтое тело только появляется на УЗИ после овуляции, и можно убедиться в его своевременном образовании и правильном функционировании. Последнее посещение УЗИ кабинета назначается на 21-23 день цикла.

УЗИ желтого тела при месячных делать не нужно, так как оно малоинформативно и не принесет никакой пользы.

Когда есть подозрения о наличии беременности и положительный тест, то УЗИ желтого тела провести нужно, для того чтобы убедиться в наличии лютеиновой железы и составить прогноз на основании полученных данных. Это исследование также поможет составить курс необходимой терапии, когда в ней есть необходимость.

УЗИ желтого тела делать следует обязательно, особенно, когда его назначает врач-гинеколог. Это позволит детально изучить настоящее состояние репродуктивной системы и дать соответствующие рекомендации, дабы избежать весьма плачевных результатов или вылечить уже имеющуюся патологию.

Что показывает УЗИ лютеиновой железы?

Лютеиновая железа, как и любой другой орган в нашем теле имеет свои собственные характеристики, которые присущи именно ему и позволяют отличить искомый орган от других. Тогда первый вопрос, который возникает — как выглядит желтое тело на УЗИ? Оно представляет собой мягкое шарообразное, слегка вытянутое образование, которое находится непосредственно рядом с яичником.

Желтое тело на УЗИ фото

Как было сказано раньше желтое тело образуется после овуляции, а она, как правило, происходит в обоих яичниках, но поочередно. Однако, чаще на УЗИ желтое тело обнаруживается правом яичнике.

И это не является патологией, а как правило анатомическая особенность.

Это означает, что в случае возникновения патологии, которая повреждает правый яичник или маточную трубу ведущую к нему, забеременеть будет сложнее.

Кроме того, что на УЗИ можно увидеть само желтое тело и его плотность, оно также дает возможность измерить его с разных сторон, так как в зависимости от срока беременности или от дня менструального цикла его размеры должны отличаться.

Методы проведения УЗИ желтого тела, подготовка и противопоказания

УЗИ желтого тела проводится двумя основными путями трансабдоминально и трансвагинально.

  • Трансабдоминальное УЗИ выполняется через переднюю брюшную стенку. Подготовка к такому исследованию заключается в небольшой предварительной диете. Накануне исследования, приблизительно за сутки, требуется исключить из рациона питания газообразующие продукты: свежие овощи и фрукты (капуста, бобовые, свекла, банан, арбуз, морковь), свежую выпечку, газированные напитки. Затем перед самим исследованием нужно заполнить мочевой пузырь жидкостью, выпив около 0.5-1 литра.
  • Трансвагинальный метод проводится при помощи специального датчика, который вводят во влагалище. В этом случае предварительная подготовка не нужна и необходимо только провести гигиенический туалет, аналогичный таковому перед осмотром на гинекологическом кресле. Перед УЗИ лютеиновой железы на датчик надевают специальный презерватив и иногда женщине необходимо заранее его приобрести.

Существует еще трансректальное УЗИ, но для изучения желтого тела оно применяется реже других методов.

Расшифровка результатов УЗИ желтого тела

Желтое тело на УЗИ подвергается достаточно хорошей оценке, но нельзя обойтись без других методов исследования. Размеры варьируются в зависимости от дня цикла, оценивая который можно предварительно, без анализа крови, определить гормональную функцию желтого тела.

  • Желтое тело, готовое для зачатия, имеет размеры в пределах 18-23мм.
  • Когда наступает беременность размер может достигать 30мм.
  • При преодолении порога в 30мм и при отсутствии беременности, имеется риск наличия кисты и точно есть дополнительная жидкость в лютеиновой железе.
  • Если размеры более 40мм, то скорее всего имеется киста желтого тела.

Так же оценивается и количество желтых тел, так как нередко их количество превышает одно.

2 желтых тела на УЗИ увеличивают шанс рождения двойни, но это далеко не точно, ведь есть еще один важный показатель, который измеряется не при помощи ультразвука — хорионический гонадотропин человека (ХГЧ).

Если он не соответствует количеству желтых тел, то даже 5 желтых тел на УЗИ не означают, что у женщины родится 5 детей. Просто они, будут дополнительно продуцировать гормоны, а позже просто регрессируют и родится всего лишь один ребенок.

Однако, обнаруженное большое количество лютеиновых желез на УЗИ иногда может свидетельствовать о риске наличия врожденных патологий у будущего ребенка, так что скорее всего, потребуется более частый мониторинг, но это не касается абсолютно всех таких случаев.

Если УЗИ показывает желтое тело, то это однозначно хороший прогностический результат и женщина может не беспокоиться. Ей нужно следовать рекомендациям врача, своевременно проводить назначенные исследования, как ради своего здоровья, так и для своего будущего ребенка.

Но когда УЗИ не показывает желтое тело стоит забеспокоиться. Оно может быть недостаточных размеров или же, попросту не обнаруживаться, в силу каких-либо других причин связанных с аппаратурой, человеческим фактором и т.д..

Если же, и при повторных исследованиях ничего не обнаруживается, то беременность не сможет протекать, так как лютеиновая железа выполняет питательную функцию в течении довольно длительного времени (до полугода), пока не образуется плацента.

Все результаты, полученные во время УЗИ, должны быть предоставлены лечащему врачу, или тому который ведет беременную. Никакой другой специалист, не может и не должен оценивать полученные результаты.

Где выполнить обследование?

УЗИ желтого тела может быть выполнено на базе акушерского стационара, женской консультации или в специализированных диагностических центрах. Отдавать предпочтение следует тем местам, где УЗИ будет выполняться опытным специалистом в области акушерства и гинекологии.

О важности

Желтое тело, хоть и временный орган, но несомненно один из наиважнейших в репродуктивной системе женщины, так как без него невозможна нормально протекающая беременность. Всегда следует крайне внимательно относиться к своему здоровью, вовремя обращаться к специалисту, дабы избежать весьма опасных и необратимых осложнений в организме женщины.

ПОДЕЛИТЕСЬ С ДРУЗЬЯМИ И ПРОГОЛОСУЙТЕ: (2 5,00 из 5)
Загрузка… 

Источник: https://uzipro.ru/uzi-pri-beremennosti/zheltoe-telo-na-uzi.html

Желтое тело на УЗИ

Когда узи показывает кисту желтого тела

Отсутствие ограничений к многократному проведению ультразвукового исследования органов малого таза, предоставляет неограниченные возможности, не прибегая к инвазивным методам диагностики, отслеживать все физиологические изменения, происходящие в органах женской репродуктивной системы (матке, яичниках и эндометрии).

Классические способы диагностики наличия овуляции, такие как измерение базальной температуры тела, оценка степени вязкости цервикальной слизи и определение динамики изменений концентрации гормонов (эстрогена, прогестерона, лютеинизурующего гормона) позволяют получить лишь косвенную информацию о происходящей овуляции.

УЗ-мониторинг фолликулогенеза обеспечивает получение визуальной информации о количестве и размере созревающих фолликулов, что, несомненно, может служить основанием для констатации факта наличия овуляции.

Кроме того, современное УЗ оборудование, обладающее высоким разрешением, позволяет оценить функциональную активность желтого тела в яичнике на УЗИ и соответствующих изменениях в эндометриальной ткани матки.

Киста желтого тела

В норме, в фазу угасания желтого тела (если оплодотворение не произошло), железа уменьшается в размере, замещая гранулезные клетки рубцовой тканью.

Рубец, сформированный на поверхности яичника, постепенно рассасывается, придавая яичнику характерный «неровный» вид.

Киста желтого тела образуется из нерегрессировавшей своевременно железы, в которой происходят гипертрофические процессы, вследствие накопления внутриклеточной жидкости. Размеры кисты, как правило, не превышают 8 см.
Когда делают УЗИ малого таза у женщин?

Основными причинами развития кисты считаются гормональные нарушения и нарушения кровообращения в яичнике. Поскольку в норме серозное содержимое фолликула должно рассасываться по кровеносным сосудам, увеличение его объемов в тканях железы свидетельствует или о повышенной продукции межклеточной жидкости или нарушении лимфооттока.

При проведении УЗИ, кисту желтого тела можно увидеть как анаэхогенное образование округлой формы, имеющее однородную консистенцию и диаметр от 40 до 80 мм. Характерным отличием этой кисты от опухолевых кист яичника, является способность к саморассасыванию, что и происходит в 90% случаев по истечении 2-3 месяцев.

Если киста имеет небольшие размеры и не сопровождается какими-либо симптомами, пациентка должна регулярно делать УЗИ и посещать гинеколога. При отсутствии регрессии со стороны новообразования по истечении двух или трех месяцев, может быть применена медикаментозная или физиотерапия, направленная на стимулирование рассасывания кисты.

Важно! При обнаружении кисты желтого тела во время УЗИ при беременности, проведение терапевтических мероприятий не требуется, так как она не является угрозой для вынашивания плода и исчезает в положенные сроки.

При отсутствии регрессии фолликулярной кисты, ее удаляют хирургическим способом

Термин «апоплексия яичника» означает внезапно произошедшее кровоизлияние, сопровождающееся разрывом тканей яичника и внутрибрюшным кровотечением. В связи с тем, что в фазе овуляции, формирования и расцвета желтого тела, кровоснабжение железы чрезвычайно интенсивное, кровоизлияние обычно происходит именно в этот период.

Существует довольно большой перечень причин возникновения кровоизлияния, включающий в себя:

  • застойные явления в органах малого таза;
  • воспалительные заболевания женских репродуктивных органов, приводящие к нарушению кровоснабжения;
  • варикозное расширение вен, располагающихся на яичниках;
  • интенсивные физические нагрузки, сопровождающиеся поднятием тяжестей;
  • снижение скорости свертывания крови;
  • тупые травмы живота.

Как правило, местом локализации кровотечения является желтое тело или киста желтого тела. При диагностике разрыва яичника, методом диагностики первой очереди, является УЗИ. Оценка эхографической картины зависит от того, на какой день менструального цикла выполняется исследование, в сопоставлении с визуально оцениваемым состоянием другого яичника.

Как правило, при кровоизлиянии, аномалий в размере пораженного яичника не обнаруживается. Размер желтого тела находится в пределах нормы и не превышает диаметр фолликула, находящегося в преовуляторной фазе. В зависимости от интенсивности и длительности кровотечения, в брюшной полости определяется некоторое количество свободной жидкости (крови).

Если на яичнике есть лютеиновая киста, то каких-либо изменений в ее форме и объемах при УЗИ, врач не увидит. Для получения более детальной информации необходимо проведение лопароскопии, в процессе которой врач не только видит пораженный яичник, но и может ушить разрывы лютеиновой железы или, в крайнем случае, при сильном кровотечении, удалить весь яичник.

Лечение апоплексии яичника предусматривает возможность восстановления без применения оперативного вмешательства (прикладывание холодного компресса на область яичника, применение спазмолитических средств, аскорбиновой кислоты для увеличения свертываемости крови).

Однако подобная тактика не позволяет провести полноценное восстановление организма в связи с невозможностью удаления крови из забрюшинного пространства и ушивания разрывов железы, что впоследствии становится причиной развития спаечных процессов, повторного разрыва желтого тела и невозможности забеременеть.

Важно! Кроме мониторинга фолликулогенеза, возможности диагностического и лечебного УЗИ включают в себя динамическое наблюдение за состоянием лютеиновой кисты, ее поведением в ответ на применение медикаментозной терапии, а также выполнение функции визуализации при заборе фолликулов для ЭКО.

Гормональное стимулирование овуляции перед ЭКО, приводит к формированию нескольких фолликулов, и, соответственно, нескольких желтых тел

На сегодняшний день УЗИ в гинекологии столь существенно расширило свои диагностические возможности, что позволило сделать его частью стандартного алгоритма, выполняемого в стационарах и поликлиниках.

Увеличение частоты разрешения и улучшение качества получаемых УЗ-картин, позволяет визуализировать чрезвычайно мелкие образования в органах, в том числе поликистоз яичников на ранних стадиях развития.

Утрата четкости очертаний фолликула при преждевременном развитии эхогенных образований в его полости и при отсутствии овуляции позволяет с уверенностью диагностировать лютеинизацию неовулировавшего фолликула, то есть развитие желтого тела до овуляции. Своевременная диагностика позволяет не только выявить причину бесплодия, но и провести ряд лечебных мероприятий, направленных на восстановление детородной функции и предупреждения развития болезни.

Источник: https://apkhleb.ru/uzi/zheltoe-telo

Поделиться:
Нет комментариев

Добавить комментарий

Ваш e-mail не будет опубликован. Все поля обязательны для заполнения.