Препараты для лечения лейкоплакии вульвы
Содержание
Лейкоплакия вульвы: симптомы и лечение

Обычно лейкоплакия вульвы диагностируется у женщин климактерического возраста. Однако, согласно статистике, случаи склеротического лишая стали гораздо чаще встречаться среди пациенток детородного периода и молодых девушек.
Формы лейкоплакии вульвы
Учитывая характер и тяжесть очагов лейкоплакии, склеротический лишай имеет несколько форм:
- Простая (плоская) лейкоплакия вульвы. Проявляется образованием бляшек белого цвета, которые чаще поражают влагалищные стенки и половые губы. Пораженная эпителиальная поверхность не имеет вогнутостей или выпуклостей. Она не меняет первоначальную форму и остается плоской. На месте удаленных бляшек остается кожа с белыми вкраплениями. Простая форма склеротического лишая может покрывать всю область вульвы или возникать на небольших ее участках.
- Гипертрофическая (чешуйчатая) лейкоплакия. Данная форма патологии сопровождается появлением серо-белых пятен на поверхности слизистых, возвышающихся над поверхностью эпителия. Очаги воспаления могут соединяться, образовывая целостную поверхность или единую цепь. Убрать выпуклые пятна с помощью ватного тампона при гипертрофическом лишае невозможно.
- Эрозивная (бородавчатая) лейкоплакия вульвы. Эта стадия болезни считается предраковым состоянием. Воспалительные очаги выглядят как белые бородавки. Обычно их поверхность покрыта трещинами, ссадинами или язвочками. Возможно развитие воспаления в бляшках.
Причины лейкоплакии вульвы
Точные причины возникновения склеротического лишая не определены. Специалисты выделяют ряд факторов, которые провоцируют изменения клеточного состава эпителия вульвы, что вследствие приводит к развитию лейкоплакии. К ним относятся:
- воспалительные патологии репродуктивной системы хронического течения;
- генитальный герпес;
- дисплазия, эрозия маточной шейки;
- дисбаланс гормонов;
- ожирение, сахарный диабет;
- гипо-, авитаминоз;
- несоблюдение правил интимной гигиены;
- заражение папилломавирусной инфекцией;
- травмы половых органов.
Особенно опасными перечисленные факторы становятся для пациенток менопаузального периода и женщин старше 40 лет.
Некоторые специалисты рассматривают лейкоплакию как психосоматическую патологию, которая возникает на фоне целого комплекса психоэмоциональных расстройств (недовольство собой и другими людьми, недоверие к родственникам и близким, завышенные требования к себе и пр.).
Также воздействие вышеуказанных факторов может стать причиной развития лейкоплакии вульвы у ребенка. Поэтому регулярные профилактические обследования в детском возрасте играют особую роль.
Симптомы лейкоплакии вульвы
На начальной стадии склеротический лишай протекает без выраженной симптоматики и узнать о его развитии можно на плановых или профилактических осмотрах у гинеколога. Также болезнь может быть обнаружена при осмотре половых губ и клитора, на которых появляются множественные, небольшие белые пятна.
Через время они ороговевают, утолщаются и возвышаются над эпителиальной поверхностью. При этом они становятся серо-белыми с перламутровым оттенком. Область изменившегося эпителия может сливаться, увеличиваться и распространяться на значительные участки вульвы.
При этом женщина может испытывать чувство покалывания или онемения в интимных местах.
При склерозировании или инфицировании пораженных тканей возникает отечность, сухость, стягивание, напряжение слизистой и кожи гениталий.Появляется сильный зуд, который при мочевыделении, интимной близости, движении и в ночное время усиливается.
Длительный зуд может стать причиной психоэмоциональных дисфункций (раздражительности, нервозности и пр.), утраты трудоспособности и истощения нервной системы.
На участках лейкоплакии возможно образование множественных субэпителиальных кровоизлияний. Поздние стадии лишая сопровождаются ярко выраженными проявлениями. Кожно-слизистые покровы становятся складчатыми и ригидными. Малые половые губы почти не определяются, большие становятся похожими на утолщенные валики. Влагалищный вход резко сужается, что затрудняет осуществление полового контакта.
Диагностика склеротического лишая
Диагноз лейкоплакия вульвы ставится врачом на основании имеющейся симптоматики, жалоб пациентки и результатов клинических исследований. Для диагностики склеротического лишая могут использоваться следующие аппаратные и лабораторные методы:
- Гинекологический осмотр. В ходе обследования и пальпации врач обнаруживает наличие белых ороговевших пятен на слизистых и эпителии.
- Кольпоскопия (вульвоскопия). Проводится для выявления атипичных клеток, свидетельствующих о трансформации пораженных тканей в злокачественное образование.
- Анализ влагалищного мазка. Позволяет выявить состояние влагалищной микрофлоры и определить наличие патогенных микроорганизмов вульвы.
- Проба Шиллера. Заключается в окрашивании воспаленных кожных пятен, что позволяет лучше визуализировать очаги лейкоплакии.
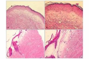
- Биопсия тканей вульвы. Наиболее эффективная диагностическая методика, которая в 100% случаях позволяет поставить точный диагноз.
На основании полученных сведений врач определяет форму лишая и учитывая состояние здоровья пациентки, разрабатывает индивидуальную программу терапевтического воздействия.
Как лечить лейкоплакию вульвы
Тактика и схема терапии склеротического лишая зависит от характера и степени изменений слизистых. Лечение лейкоплакии вульвы направлено на предупреждение озлокачествления (малигнизации) бляшек и устранение патологической симптоматики.
На начальных стадиях болезни показано комплексное консервативное лечение, требующее постоянного контроля специалиста и мониторинга его результативности посредством проведения анализов.
При обнаружении атипичных клеток назначается хирургическое вмешательство.
Консервативное лечение склеротического лишая
Консервативная терапия лейкоплакии вульвы требует комплексного подхода. Для достижения стойких и максимальных результатов лечение лишая консервативными методами включает:
- прием медикаментов;
- грамотное выполнение гигиенических мероприятий;
- соблюдение диетического питания;
- проведение физиопроцедур.
Медикаментозная терапия лейкоплакии
Лекарственные препараты для лечения лишая могут назначаться системно и локально. К местным лекарственным средствам, которые используются для устранения патологической симптоматики, относятся:
- противовоспалительные мази;
- антигистаминные препараты;
- гормональные лекарственные средства;
- противозудные кремы;
- антибактериальные препараты.
Если устранить зуд вульвы с помощью наружных медикаментозных средств не удалось, назначается радиоволновая пункция кожи или новокаиновые блокады интимных мест.
К системным медикаментозным препаратам, которые назначаются для терапии лейкоплакии вульвы, относятся антибактериальные и противовоспалительные лекарственные средства в виде инъекций или таблеток. Они принимаются при вторичном инфицировании или выраженном воспалении.
Для улучшения состояния слизистых и укрепления организма показан прием минеральных и витаминных комплексов. При необходимости применяются средства для коррекции иммунной системы.
Женщинам с психоневрологическими расстройствами назначаются антидепрессанты, седативные препараты и транквилизаторы, а также занятия по психокоррекции.
Гигиенические мероприятия
На протяжении терапевтического курса пациентке следует придерживаться ряда правил:
- не пользоваться синтетическим, облегающим бельем;
- избегать перегреваний;
- не находиться длительное время на солнце;
- не использовать пересушивающие кожу антисептические растворы и мыла для подмывания (предпочтение лучше отдать травяным отварам и кипяченой воде с содой);
- не спринцеваться;
- воздержаться от применения синтетических гигиенических средств (тампонов, прокладок и пр.).
Диета при лейкоплакии вульвы
Питание при склеротическом лишае заключается в исключении из рациона спиртных напитков, жирных, острых блюд, копченостей, кофе и черного чая. Суточное меню должно включать больше продуктов, насыщенных минералами, витаминами и питательными микроэлементами (крупы, молочные изделия, нежирные сорта мяса).
Физиотерапия
Для десенсибилизирующего и противовоспалительного эффекта при лечении лейкоплакии вульвы могут проводиться такие физиотерапевтические процедуры:
- лечебная физкультура;
- бальнеотерапия;
- дарсонвализация;
- чрескожное облучение крови;
- сонофорез;
- магнитофорез;
- лазерофорез;
- радиоволновая терапия;
- модуляция головного мозга;
- фонофорез лекарственных препаратов;
- фотодинамическая терапия (ФДТ) лейкоплакии вульвы.
Физиопроцедуры назначаются в дополнение к медикаментозному или хирургическому лечению, что позволяет достичь более стойких терапевтических результатов.
Хирургическое лечение склеротического лишая
Операция при лейкоплакии вульвы назначается при неэффективности консервативной терапии, тяжелой степени болезни и при обнаружении признаков озлокачествления тканей вульвы. Для удаления очагов лейкоплакии могут использоваться следующие деструктивные методы:
- криодеструкция участков лейкокератоза;
- лечение лейкоплакии вульвы лазером;
- деструкция патологически измененных клеток радионожом;
- хирургическое иссечение очагов лейкоплакии (с помощью скальпеля);
- экстирпация вульвы (назначается при озлокачествлении лейкоплакии).
При перерождении очагов лейкоплакии в раковую опухоль после операции показан курс радиолучевой терапии.
Все пациентки с лейкоплакией становятся на диспансерный учет к гинекологу или онкологу (в случае обнаружения злокачественных поражений).
Лейкоплакия шейки вульвы и беременность
Нередко склеротический лишай развивается во время гестации.
Грамотно подобранное и своевременно начатое лечение позволяет достичь стабильного состояния слизистых вульвы и избежать прогрессирования симптомов патологии во время вынашивания. В подобном случае женщина может родить естественным путем.
При истонченности и выраженной сухости кожи вульвы, а также наличии обширных очагов воспаления, долго незаживающих трещин и изъязвлений рекомендуется проведение кесарева сечения.
Профилактика и прогноз при лейкоплакии вульвы
Прогнозы при склеротическом лишае зависят от формы и тяжести очагов лейкоплакии. При своевременной и грамотной терапии возможно полное излечение от патологии.
Профилактика лейкоплакии вульвы подразумевает соблюдение следующих рекомендаций:
- своевременное выявление и терапия инфекционных, воспалительных патологий;
- регулярное обследование у гинеколога, эндокринолога не менее раза в пол года;
- лечение любых гормональных расстройств;
- соблюдение полноценного и правильного питания;
- отказ от приема алкоголя и табакокурения;
- ведение активного способа жизни;
- избегание стрессов, психоэмоциональных расстройств и нагрузок;
- соблюдение интимной гигиены;
- ношение качественного, натурального белья.
При обнаружении первых симптомов лейкоплакии вульвы следует обратиться к гинекологу. После проведения ряда аппаратных и лабораторных исследований врач определит стадию болезни и подберет наиболее эффективную тактику терапевтического воздействия.
Количество прочтений: 27.04.2018
Источник: https://ginekologi-msk.ru/info/zabolevaniya/leykoplakiya-vulvy/
Лечение лейкоплакии и крауроза народными средствами

Крауроз и лейкоплакия вульвы — прогрессирующая диффузная атрофия слизистых оболочек кожи, наружных половых органов и влагалища у женщин, частичное или полное исчезновение малых половых губ, а также стеноз влагалища.
Относится к предраковым заболеваниям наружных половых органов. Чаще бывает у женщин в климактерическом периоде и очень редко у молодых после удаления яичников при недостаточной их функции.
В статье описаны народные методы лечения лейкоплакии и крауроза и отзывы о лечении.
Лейкоплакия вульвы фото
Коварство этого недуга заключается в том, что внешне все выглядит благополучно. Начинается крауроз обычно с зуда, который постепенно усиливается. Причем даже при тщательном соблюдении гигиены. Затем на этом месте кожа теряет эластичность, становится сухой и легкоранимой, на ней легко возникают трещины и ссадины.
Беспокоит постоянный зуд и сухость слизистых. При краурозе по отзывам пациенток хороший эффект дают: сок чистотела в очень большом разведении (1:100) наружно, в виде спринцеваний, тампонов.
А еще лучше — пропитанные соком чистотела тампоны применять с мазями и натуральными препаратами, обладающими противоопухолевым действием, например 5- процентная мазь из мумие или прополиса с облепиховым маслом, маслом календулы или соком каланхое.
У каждой болезни причина кроется внутри, поэтому перед лечением надо почистить организм, а только потом пить настои из трав в комплексе с мазями.
Крауроз и лейкоплакия вульвы считаются заболеваниями преимущественно женщин возрастной группы от 50 и старше, то есть пре- и постменопаузального. Это правда, но сейчас наблюдается тенденция к омоложению заболеваемости и нередко встречается у школьниц и даже у девочек посещающих Детский сад.Лейкоплакия и крауроз вульвы по-другому называется склерозирующий лишай или лихен. Эти заболевания сходны по природе возникновения и клинической картине и относятся к дистрофическим пораженим наружных половых органов.
Носят прогрессирующий и часторецидивирующий характер.
Причины заболевания:
Причины на данный момент неизвестны, но есть несколько факторов, которые большую роль играют в возникновении заболевания.
- Аутоиммунной
- Эндокринные
- Вирусные
- Инфекционные
- Психогенные факторы
Ведущую роль в развитии крауроза и лейкоплакии вульвы могут играть следующие факторы:
- нарушение правил интимной гигиены-очень частое перегревание, местное (памперсы для взрослых)
- ношения прокладок ежедневных постоянно
- травматические нарушения половых органов полученные либо при операции или травме, химические воздействия (некоторые женщины любят злоупотреблять марганцовкой для подмываний)
- ранний климакс который говорит о выраженной гипофункции яичников и резким падением выработки эстрогенов
- заболевания щитовидной железы
- надпочечников
- частые воспалительные заболевания вульвиты и вульвовагиниты
- папилломавирусная и герпетическая инфекция ведет к поражению эпителия влагалища, вульвы и шейки матки
- аутоиммунные заболевания которые идут к снижению иммунитета
- избыточный вес
Стадии развития патологического процесса:
Прогрессирование лейкоплакии и крауроза вульвы носят стадийный характер и сопровождается нарушением кровоснабжения и микроциркуляции в тканях вульвы. В тканях происходят гипоксические нарушения, развивается атрофия и гиперкератоз.
Отек базального слоя эпидермиса и нарушается структура коллагеновых волокон идет их распад за счет повышения активности фермента эластазы. Подвергаются разрушению нервные окончания в тканях, это ведет к появлению сильного зуда, боли и парастезий, то есть идет порочный круг.
Хотя эти недуги и являются доброкачественными заболеваниями слизистой оболочки и эпидермиса, но они могут до 2-7 % переходить в рак, поэтому лечиться нужно обязательно.
Лейкоплакия симптомы, прогноз
Клиника лейкоплакии и крауроза зависит от:
Длительности существования патологических изменений, степени выраженности, наличия сопутствующих заболеваний.
Частота составляет от 1 до 9% и увеличивается с возрастом. Иногда встречается вообще без клинических проявлений, и является случайной находкой на профосмотрах.
Начальная стадия:
- Наружных изменений может не быть или они скудные, белесоватость в области клитора и схождения малых половых губ, легкий периодический зуд.
- При прогрессировании патологического процесса усиливается вегетативные проявления, то есть зуд, становится более выраженным, местные изменения характеризуются увеличением области лейкоплакии, изменением цвета слизистой.
- В тяжелей стадии снижается работоспособность, за счет нестерпимого зуда. Могут быть болезненность и затруднения мочеиспускания, недержание мочи, чувство сухости стягивания кожи и слизистых оболочек. Диспареуния, изредка может даже наблюдаться нарушения акта дефекации.
При осмотре лейкоплакия характеризуется белесоватостью кожных покровов, сухость, стянутость, снижение эластичности. В коже могут быть очаги лихенизация следы, расчесов которыми при которых часто присоединяется вторичная инфекция и появляются воспаление и отечность.
Вульвоскопия
При исследовании кольпоскопом участки пораженной слизистой могут иметь различные оттенки от белого до желтоватого и темно красного. Если нанести на них раствор Люголя, то окрашивание ткани практически не происходит-это отрицательная Проба Шиллера.
Все это свидетельствует об отсутствии гликогена в клетках.
Прогрессирование процесса постепенно идет с малых половой губы на внутренние поверхности больших половых губ и распространяется на перианальную область и в паховые складки.
В особенно запущенных случаях кожа становится очень сухой гладкой и очень тонкой и раниемой, образуются трещины, рассчесы и при присоединиении инфекции язвенно-некротические участки.
Вход во влагалище резко сужается, он ограничен большими половыми губами которые становятся плоскими похожим за два кожных валика. Диаметр наружного отверстия мочеиспускательного канала резко уменьшена, иногда наблюдается уретероцеле.
Лейкоплакия шейки матки фото
Влияние на беременность
Крауроз вульвы при беременности не влияет на ее течение, хотя при нарастании клинических проявлений, могут привести к психическим нарушением и развитии вегето-сосудистая дистонии. Это в свою очередь может привести гестозу.
Снижение эластичности тканей вульварного кольца ведет к сужению входа влагалища, если породы пойдут естественным путем, то возможные разрывы промежности до прямой кишки. Поэтому предпочтительно родоразрешение путем кесарева сечения.
Диагноз лейкоплакии ставится после обследования
- осмотр на приеме визуально
- взятие мазков на онкоцитологию с вульвы, для исключения злокачественного процесса
- обследование на вирусные инфекции (ВПЧ, герпес)
- обследование на ИППП
- взятие общего мазка
- вульвоскопия
- при необходимости гистологическое исследование
Препараты для лечения
Лечение лейкоплакии и крауроза направлено на улучшение питания или трофики тканей, снятие зуда и психоэмоционального напряжения.
- Назначаются антигистаминные средства Дибазол Тавегил, Супрастин, Зиртек и другие.
- Успокаивающие и седативные препараты: Новопассит, Персен, Афобазол, Негрустин, Фенибут- наиболее безопасные успокоительные. Более сильные транквилизаторы и антидепрессанты выпишет врач при необходимости.
- Местное лечение включает гормональные мази и кремы, которые содержат эстрогены : крем Овестин (для любого возраста), Эстрадиол (предпочтительно для более долодого возраста) и прогестерон. Мази с кортикостероидами Синафлан, Флуцинар, Гидрокортизонова, Преднизолоновая. Глюкокортидные мази-это основные препараты для лечения зуда при краурозе и лейкоплакии. Они снижают чувствительность к гистамину и серотонину, снижает синтез медиаторов воспаления, уменьшают проницаемость капилляров и снижают воспалительную реакцию, отёк.
- Лечение лазером. Лечение проводится местно, при воздействии лазера улучшается трофика тканей, кровоснабжение. Достаточно эффективный метод, но в составе комплексной терапии.
- Лечение Озоном. Делают ванночки с озоном. Другой вариант берется хорошее рафинированое оливковое масло 200 мл, озонируется. После этого втирается в область поражения 2-3 раза в сутки, длительно, до года.
- Хирургические методы- криотерапия, лазерная аблация, вульвэктомия. Подробно эти методы рассматривать не будем, т.к. они травматични,проводятся в крайних случаях и у них много осложнений.
- Интимная пластика, введение филлеров в область малых и большых половых губ при склерозирующем лихене ( лейкоплакии), в ткани входа во влагалице- новый и очень многообещающий метод.
Можно посмотреть на видео:
Лечение народными средствами в домашних условиях
1. Лечение пиявками. Пиявки ставятся на область вульвы и перианальную область. Начинать лучше с перианальной области, т. к. к пораженным участкам ввиду нарушенного кровоснабжения пиявки присасываются плохо. Гирудотерапия улучшает трофику тканей, способствует восстановлению коллагеновых волокон.
2. Мазь на основе пальмового масла: можно приготовить в домашних условиях: берем пальмовое масло 100 г. затем добавить 10 миллилитров глицерина, настойка прополиса 1\2 ч. л. настойки календулы 1\2 ч.л.
, 10 капель витамина А, настойки эвкалипта 1\2 ч.л. всё размешали, топить на водяной бане до полного растворения.
Тампоны при лейкоплакии шейки матки ставится на ночь, 10 дней, затем неделю перерыв, при необходимости курс повторить.
3. Мазь на основе березового дегтя. Купить в аптеке Березовый деготь, три капли смешиваются с одной столовой ложкой сметаны, смазывают пораженные участки тела.
4. Отвар из цветков картофеля. Цветки собирают высушивать и измельчают, использовать обязательно цветки сиреневого или красного цвета. Одну чайную ложку залить одним стаканом кипятка настаивают, процеживают. Пить по одной трети стакана 3 раза в день.
5. Домашние свечи из масла какао и эфирных масел.
Берётся 100 грамм масла какао, 3 капли масла можжевельника, 3 капли масла чайного дерева, 3 капли масла эвкалипта, в смесь добавляется 1 чайная ложка настойки календулы и столько же настойки прополиса.
В се растопить на водяной бане, разлить по формочкам для вагинальных свечей. Поставить в холодильник до затвердевания. Свечи используют на ночь в течение 10 дней, неделя перерыв, после этого курс можно повторить.
6. Настойка из лекарственных трав: берется боровая матка трава 20 г, чистотела 10 г, календула20 г, эвкалипт 20 г, красная щетка20 г. Одна столовая ложка травы заваривают ли в термосе стаканом кипятка 2 часа настоять, процедить. Из полученного отвара делаются тампоны и ставятся на ночь во влагалище при лейкоплакии шейки матки или примочки если крауроз находится снаружи.Все народные методы требуют консультации с лечащим врачом, поэтому старайтесь не заниматься самолечением.
Сбор для внутреннего употребления: 3 части травы фиалки трехцветной, 2 части травы череды, 3 части листьев земляники, 2 части травы хвоща полевого 2 части травы тысячелистника, 2 части листьев черной смородины, 1 часть травы крапивы, 3 части корней лопуха.
1 столовую ложку смеси запить 500 мл кипятка, кипятить 3 мин., настоять 20 мин., процедить. Пить по 100 мл 3 раза в день в течение 3 месяцев. При запорах добавить кору крушины.
В 1 л кипяченой воды развести 3 столовые ложки уксуса и ежедневно подмываться этим раствором. Через неделю почувствуете облегчение.
Купить в аптеке бифидумбактерин (в пакетиках или во флаконах). В инструкции написано, как им пользоваться при вагинальном лечении и делать тампоны с раствором на ночь. Утром тампон убирать и смазывать мазью Линин (мазь гомеопатическая). Делать так до 10 раз, пока не исчезнет зуд.
А мазью Линин продолжать мазать каждый раз после туалета — чтобы не попадала инфекция, и для смягчения. Комплексное лечения крауроза: зверобой залить кипятком в трехлитровой банке, пусть настоится и охладится. Вечером этим настоем подмываться. Настой должен быть холодным.
Затем купите в аптеке порошок борной кислоты и смешайте его в пропорции 1:1 с картофельным крахмалом. После того как подмоетесь отваром зверобоя, сделайте присыпку из этой смеси.
Купите в аптеке борный вазелин и на ночь мажьте места, где зудит.
Порошок борной кислоты (на кончике ножа) смешайте с 1 столовой ложкой свиного топленого сала, перемещайте хорошо и на ночь мажьте. Только обязательно на ночь подмывайтесь все тем же отваром зверобоя.
Еще крауроз ноготков боится.Сборы для женского здоровья
Взять 2 стакана ноготков (календулы), залить 5 л воды, довести до кипения, вылить в таз, дать немного остыть, чтобы можно было терпеть, сесть и сидеть до остывания. Каждый раз готовить свежий отвар. Мыться только детским мылом, трещины хорошо смазывать календуловым/ромашковым маслом или мазью из болиголова.
Алевтина Михайловна Корепанова, травник-целитель, г. Воткинск
Статья обновлена: 2020-01-20
Источник: http://drugp.ru/krauroz-luejkoplakiya-u-zhenshhin-lechenie-otzyvy.html
Какие мази применять лейкоплакии вульвы

Периоды менопаузы и климакса всегда сопряжены с гормональной перестройкой организма женщины и нередко осложняются появлением различных неприятных симптомов и заболеваний.
Одним из таких гинекологических недугов, относящихся к предраковым состояниям, является лейкоплакия вульвы.
Вначале это заболевание может протекать абсолютно бессимптомно, а при отсутствии своевременного лечения может приводить к развитию онкологического процесса.
В этой статье мы ознакомим вас с причинами, симптомами, способами диагностики, лечения и профилактики лейкоплакии вульвы. Эта информация позволит вам вовремя начать лечение и предупредить развитие тяжелых осложнений.
Причины
Пока современная медицина не может дать точного ответа о причине развития лейкоплакии вульвы в каждом конкретном клиническом случае, но врачам хорошо известны те факторы, которые могут привести к изменениям в клеточном составе эпителия вульвы. К ним относят:
- генитальный герпес;
- хронические воспалительные заболевания половых органов;
- эрозия и дисплазия шейки матки;
- травмы половых органов;
- гормональный дисбаланс;
- заражение вирусом папилломы человека;
- пренебрежение правилами личной гигиены;
- ожирение;
- гипо- и авитаминоз;
- сахарный диабет.
Все эти факторы приобретают особую опасность возрасте после 40 лет или в период менопаузы.
Психиатры рассматривают лейкоплакию как психосоматическое заболевание, которое провоцируется целым комплексом психоэмоциональных нарушений и может корректироваться изменением образа мыслей.
Как правил, женщины с таким диагнозом испытывают постоянное недовольство собой и действиями окружающих их людей, предъявляют повышенные требования к себе и глубокое недоверие к своим близким и родственникам.Намного реже лейкоплакия вульвы развивается в детском возрасте. Однако все вышеперечисленные факторы могут стать причиной изменений в слизистой вульвы и у девочек. Именно поэтому регулярные профилактические осмотры в таком возрасте приобретают важную роль, и при появлении первых же признаков заболевания необходимо сразу же обращаться к врачу.
Симптомы
Иногда лейкоплакия вульвы длительное время протекает бессимптомно и женщины узнают о ее развитии во время планового или профилактического осмотра у гинеколога. Патология может обнаруживаться случайно при осмотре клитора и малых половых губ. На их слизистой оболочке появляются небольшие, обычно множественные, пятна белесого цвета.
Со временем они утолщаются, ороговевают, слегка возвышаются над поверхностью слизистой и приобретают серо-белый цвет с перламутровым оттенком. Очаги изменившейся слизистой могут увеличиваться в размерах, сливаться и распространяться на значительную поверхность вульвы.
Нередко у больных наблюдаются парестезии в виде онемения или покалывания в зоне кератоза.
При инфицировании или склерозировании зон лейкоплакии женщина может обращать внимание на внезапное появление отечности и предъявлять жалобы на сухость, напряжение и стягивание слизистой и кожи в области половых органов, интенсивный зуд, который усиливается по ночам или при движении, половом акте и мочеиспускании. Длительный зуд вульвы приводит к появлению психоэмоциональных расстройств, истощению нервной системы и утрате трудоспособности.
На участках лейкоплакии могут появляться множественные субэпителиальные кровоизлияния. На поздних стадиях болезни гиперкератоз и склерозирование достигают своего максимума.
Кожнослизистые покровы становятся ригидными, складчатыми, по цвету глянцево-перламутровыми. На их поверхности появляются телеангиоэктазии и субэпителиальные кровоизлияния.
Большие половые губы становятся похожими на утолщенные валики, малые половые губы почти не определяются, а вход во влагалище становится резко суженным.
По степени выраженности гиперкератоза лейкоплакия может быть:
- Плоская. На вульве появляются плоские белесые пятна без признаков воспалительного процесса. После удаления тампоном они появляются вновь. Пятна могут присутствовать на ограниченных участках вульвы, а при генерализованном течении захватывают обширную поверхность слизистой.
- Гипертрофическая. Очаги изменения слизистой выглядят как серо-белые пятна с четко очерченными контурами, они возвышаются над поверхностью и иногда сливаются между собой, не снимаются тампоном.
- Бородавчатая. Очаги поражений значительны и имеют вид бородавчатых наростов. Могут осложняться изъязвлениями, воспалением, отечностью и появлением покраснений, язв, трещин и эрозий. Такая форма лейкоплакия считается предраковым состоянием.
Лейкоплакия вульвы и беременность
В отдельных случаях лейкоплакия вульвы может развиваться и во время беременности.
При помощи своевременной и грамотно назначенной медикаментозной терапии обычно удается достичь стабильного состояния без прогрессирования симптомов во время вынашивания плода и в раннем послеродовом периоде.
В таких случаях женщинам показано родоразрешение естественным путем. При наличии выраженной сухости, истонченности, наличии долго заживающих изъязвлений, трещин и обширных очагов лейкоплакии для родоразрешения рекомендуется операция кесарева сечения.
Диагностика
Для установления диагноза пациенткам назначаются такие виды обследования:
- сбор анамнеза и гинекологический осмотр;
- общий анализ крови;
- мазок на флору из уретры, влагалища и шейки матки;
- анализ методом ПЦР на наличие вируса папилломы человека с установлением типа вируса;
- биопсия и гистологическое исследование;
- цитологическое исследование соскобов с шейки матки и цервикального канала на атипичные клетки;
- вульвоскопия (простая и расширенная с использованием красителей);
- кольпоскопия;
- аспирация содержимого полости матки и/или цервикального канала с последующим гистологическим исследованием материала;
- иммунограмма.
На ранних стадиях лейкоплакии вульвы проводится дифференциальная диагностика этого заболевания с такими болезнями как:
- нейродермит – зуд при этом проявляется и на других участках тела, эпителий уплотнен, сухой и утолщенный, кожа покрасневшая, с воспаленными папулами розово-коричневоого цвета и имеет усиленный рисунок;
- витилиго – при этом заболевании отсутствуют участки пигментаций, зуд легкий, на измененных участках кожи нет атрофических изменений;
- сахарный диабет – ткани вульвы воспаленные, отечные, тестообразной консистенции, зуд сильный;
- красный плоский лишай – при этом заболевании высыпания папулезные, множественные и склонны к группировке, после вскрытия папул на коже образуются участки атрофии или склероза с образованием келоиднообразных рубцовых изменений.
Источник: https://ginekologiya-urologiya.ru/preparaty/kakie-mazi-primenyat-lejkoplakii-vulvy
Лейкоплакия вульвы: лечение заболевания и что это такое, симптомы, диагностика, применение медикаментов и народных методов + отзывы

Лейкоплакия наружных пол. органов у женщин — широко распространенное гинекологическое заболевание, которое характеризуется поражением слизистой оболочки. Болезнь проявляется в виде белесоватых наростов на слизистой.
Помните. Лейкоплакия вульвы у детей очень редко диагностируется, однако в последнее время прослеживается тенденция к омоложению болезни.
По сути, лейкоплакию половых губ можно рассматривать как предраковое состояние. Как и чем лечить лейкоплакию вульвы, будет указано ниже. Анализ статистических данных показал, что патология диагностируется приблизительно у 5% женщин, однако ее злокачественная трансформация наблюдается у 15-30% пациенток. Недуг у женщин чаще всего выявляется случайно — во время прохода профосмотра.
Лейкоплакия вульвы, как правило, развивается на фоне гормонального дисбаланса, поэтому чаще всего указанная аномалия наблюдается у женщин в период менопаузы и климакса
Что такое «лейкоплакия вульвы»?
Лейкоплакия – дистрофический процесс слизистой вульвы, который протекает в хронической форме. При лейкоплакии выражена пролиферация тканей, а также происходит чрезмерное ороговение эпителия, что впоследствии приведет к структурным изменениям и склерозированию
Лейкоплакия заметна как визуально, так и обнаруживается после инструментальных и лабораторных анализов. Это состояние считается предраковым и часто имеет неблагоприятный прогноз. Лечения, которое могло бы восстановить здоровье тканей, еще разработали, поэтому терапия несет больше поддерживающий характер (если не применяют хирургическое вмешательство).
Многослойный эпителий вульвы может поражаться по разным причинам, однако точной взаимосвязи с каким-либо фактором пока не обнаружено. Дистрофические изменения со временем приводят к образованию рогового слоя и гиперкератоза.
Это заболевание поражает преимущественно женщин, которые входят в период менопаузы или уже испытывают гормональную перестройку.
Лейкоплакия часто наблюдается одновременно с краурозом вульвы – ее атрофическими изменениями.Дистрофические процессы, которые происходят в органе, в несколько раз повышают риск развития рака, поэтому своевременная диагностика очень важна для сохранения здоровья пациентки.
Виды и формы заболевания
Существует несколько вариантов течения, каждый из которых имеет специфическую симптоматику, особенности лечения и прогноз.
Плоская
Данный вариант – самый распространённый. В 90% случаев патология выявляется при профилактических осмотрах или во время обращения к стоматологу по поводу других заболеваний. Клинических проявлений длительное время нет. Спустя несколько месяцев возникает чувство жжения, давления и втянутости.
При поражении языка, за счёт перерождения эпителия вкусовых сосочков, теряется вкусовая чувствительность.
Плоская лейкоплакия представляет собой сухую шероховатую поверхность, которую невозможно удалить
Очаги лейкоплакии могут иметь любую форму и размеры (описаны случаи, когда вся слизистая оболочка подверглась дискератозу). На слизистой оболочке щёк чаще всего поражается область вокруг выводных протоков слюнных желёз.
Локализация на языке, нёбе или дне ротовой полости обуславливает появление белых полос с участками более тёмного окраса. У 50% больных образования возвышаются над поверхностью на 1-3 мм.
Характерно появление налёта, который не соскабливается шпателем.
Цвет бляшек: белый, серый или молочный. Инфицирования обычно не возникает, так как деятельность иммунных барьеров не нарушена.
Веррукозная
Данный тип – следующий, после простой формы. При дальнейшем продолжении воздействия провоцирующих факторов (курение, употребление алкоголя и острой пищи) отклонение неуклонно прогрессирует. Гиперкератоз становится более выраженным. Верхние слои эпителия уплотняются и значительно возвышаются (на 3-5 мм). При ощупывании они плотные, твёрдые и немного подвижные. Боль не характерна.
Вариант веррукозной лейкоплакии, возникшей на нижней части языка
Цвет постепенно сменяется на желтоватые оттенки. Типичные жалобы: сильное жжение при воздействии воды и пищи, ощущение стянутости и шероховатости, дискомфорт в ротовой полости.
Характерная особенность – частое перерождение в онкопатологию.
Эрозивная
Простой и веррукозный варианты в 25-30% случаев, при отсутствии лечения, переходят в данную форму. На патологических образованиях появляются множественные трещины и язвочки, вызывающие резкую боль. Размер открытых ран постепенно увеличивается, достигая значительных размеров. Приём пищи, речь, движения в нижнечелюстном суставе становятся практически невозможными.
Источник: https://gb4miass74.ru/bolezni/lejkoplakiya-vulvy.html
Что такое лейкоплакия вульвы у женщин, и как ее лечить?

Женщины в периоде климакса все чаще встречаются с диагнозом лейкоплакии вульвы. Заболевание наружных половых органов характеризуется огрублением поверхностных слоев области гениталий, образованием несмываемых белых пятнышек. Среди молодых девушек лейкоплакию также можно встретить, но это намного реже. Гинекологи отмечают омоложение болезни, т. е.
с каждым годом все чаще с такой проблемой обращаются более молодые женщины. Лейкоплакия наружных половых органов у женщин считается предраковым заболеванием. Но некоторые специалисты отмечают частое сочетание лейкоплакии с несколько похожей патологией — крауроз вульвы (сморщивание).
Почему появляется болезнь и как вылечить лейкоплакию вульвы?
Причины и симптомы лейкоплакии вульвы
Достоверной причины возникновения лейкоплакии нет. Предполагается, что это следствие хронических воспалительных процессов половой системы, нарушения метаболизма и иммунитета. Выделен ряд предрасполагающих факторов:
- Недоразвитие шейки матки;
- Генитальный герпес;
- Короткий репродуктивный период;
- Травматизация слизистой;
- Недостаток витамина, А;
- Сахарный диабет;
- Возраст >40 лет;
- Вредные привычки.
Психиатры настаивают на психосоматической этиологии заболевания. Специалисты выделяют следующие психические нарушения, которые способствуют появлению лейкоплакии:
- Глубокое недоверие к родственникам;
- Внутреннее угнетение или депрессия;
- Повышенная требовательность к близким и себе;
- Неудовлетворенность в действиях окружающих женщину людей.
Также одной из главных причин крауроза, как еще называется патология, является пониженная выработка женского полового гормона. Дефицит эстрогена провоцирует гипертрофию эпителия, что может перейти в лейкоплакию половых губ.
Существует форма, при которой женщина не испытывает никаких неприятных ощущений (скрытая форма лейкоплакии). Тем не менее, пятна на половых губах и клиторе есть. Они немного возвышаются над уровнем слизистой или кожи и имеют белый или серовато-белый цвет (в зависимости от времени с момента образования).
Если женщина не обращается к специалисту или назначает самолечение, которое не приносит результатов, все образовавшиеся бляшки начинают сливаться.
Если мелкие очаги с трудом, но можно удалить тампоном, то сливные пятна не исчезают при обработке наружных половых органов.
Среди жалоб при посещении гинеколога могут быть:
- Жжение и зуд. Они присутствуют постоянно, усиливаются во время полового акта, после мочеиспускания и ночью;
- Ощущения онемения и покалывания;
- Мацерация кожи и слизистых (расчесы);
- При запущенных процессах — эрозии и трещины;
- Присоединение вторичной инфекции (воспаления).
Важно. Женщинам не стоит, исходя только из симптомов, придумывать лечение лейкоплакии, похожие признаки могут быть и у других заболевание, которые лечатся другими препаратами.
Способы диагностики
Диагностика проводится в 2 способа:
- Осмотр акушера-гинеколога при помощи зеркал.
- Кольпоскопия.
Дополнительным подтверждающим диагностическим критерием является проба Шиллера (окрашивание специальным средством наружных половых органов для визуализации очагов поражения). Для исключения рака используется биопсия.
Как лечить лейкоплакию наружных половых органов: мази, физиопроцедуры, хирургическое вмешательство
Прежде чем начинать лечение лейкоплакии или крауроза наружных половых органов женщине придется несколько поменять образ жизни и придерживаться следующих рекомендаций:
- Отказ от горячего душа и ванны;
- Использовать нижнее белье только из натуральных тканей;
- Не подмываться мылом, которое сушит кожу и слизистые;
- На время лечения обеспечить максимальный доступ кислорода к проблемным местам;
- Включить в распорядок дня прогулки на свежем воздухе;
- Убрать алкоголь и курение, вредную еду;
- Заниматься лечебной физкультурой.
Далее, после тщательного обследования, при легкой степени болезни назначаются мази с гормонами (преднизолоном). В борьбе с лейкоплакией используются следующие препараты:
- Преднизолон;
- Не конъюгированные эстрогены;
- Андроген.
Дополнительно назначаются, при необходимости, комплексы витаминов, антигистаминные препараты. У женщин с выраженным симптомом зуда — проводят новокаиновые блокады.
Следующий метод, физиотерапевтический, направлен не только на купирование острой фазы, но и поддержание состояния в период ремиссии. Физиотерапия позволяет:
- Снять воспаление в зоне поражения;
- Нормализовать обменные процессы;
- Укрепить иммунную систему;
- Восстановить гормональный и психоэмоциональный фон.
При отсутствии эффекта от вышеуказанных методов пользуется хирургическое лечение. Консервативно — это иссечение патологических участков скальпелем. Но медицина идет вперед и на данный момент используются такие методы оперативного лечения (малоинвазивного):
- Лазерная коагуляция;
- Диатермокоагуляция;
- Криотерапия;
- Химическая коагуляция и др.
На последних стадиях заболевания, когда даже оперативные методы не могут помочь или противопоказаны, проводится экстирпация (удаление) вульвы.
Лечение лейкоплакии вульвы народными средствами
Как и в традиционной медицине, народные средства славятся своим многообразием.
Как лечить лейкоплакию в домашних условиях:
- Травяной отвар. Зарекомендовали себя зверобой и трава календулы. Заваривать их нужно вместе и в одинаковом процентном соотношении. Затем использовать этот отвар при подмывании вместо мыла.
- Свечи. Потребуется масло какао как основа. Затем в него добавляются эфирные масла чайного дерева и можжевельника. В полученную смесь добавляется настойки прополиса и календулы, витамин А.
- Растительные масла. Можно брать любое масло, единственное условие — нерафинированное. Растительное масло увлажняет и питает пораженные участки.
Исходя из отзывов лечение лейкоплакии вульвы народными средствами не универсально, для каждой отдельной женщины необходимо подбирать свои методы.
На самом деле средств бесконечное множество, но какой из них самый лучший определяет только женщина исходя из индивидуальных особенностей организма. Но как быть, если бабушкиным советам представительница прекрасного пола не доверяет, да и гормональная терапия не прельщает?
Как лечить мастит у кормащей матери, и возможно ли его избежать?
О полипах матки и шейки матки читать далее.
О причинах и последствия повышенного дигидротестостерона у женщин и мужчин: https://venerolog-ginekolog.ru/gynecology/diseases/povyishennyiy-digidrotestosteron.html.
Крем Иранский шафран при лейкоплакии
Можно сказать, что в Пекинском научно-исследовательском институте произошел прорыв медицины — получено не гормональное средство, которое в 98% случаев дает 100% устранение лейкоплакии. Набор крема Иранский шафран предусматривает не 1, а 2 средства:
- Лосьон для вымывания (оказывает очищающее и антисептическое действие).
- Биоактивный крем (питает и восстанавливает пораженные зоны).
У средства нет противопоказаний или побочных эффектов. Единственным последствием может быть индивидуальная непереносимость. Для проверки, перед началом регулярного применения, нанести небольшое количество средства на тыльную поверхность кисти и подержать 10 минут. Если в течение суток нет аллергической реакции — крем можно смело использовать.
После острой фазы крем Иранский шафран при лейкоплакии вульвы рекомендуется продолжать использовать в целях профилактики.
Таким образом, лейкоплакия в настоящее время успешно лечится и диагностируется. Выбор метода устранения недуга зависит от степени поражения. Самолечение может быть опасным и привести к не желаемым последствиям, поэтому обязательно нужна консультация специалиста.
На видео о лечении лейкоплакии вульвы у женщин и крауроза методом ФДТ:
Источник: https://venerolog-ginekolog.ru/gynecology/diseases/leykoplakiya-vulvyi-u-zhenshhin.html
