Витамины при фиброаденоме молочных желез
Содержание
Лечение фиброаденомы молочной железы: удалять или нет

Фиброаденома – это опухоль молочной железы, которая является доброкачественной. Появляется вследствие неконтролируемого деления клеток фиброзной и железистой ткани.
Чаще всего, страдают этим заболеванием женщины до 30 лет, во время психоэмоциональных напряжений, и юные девушки в период гормональной перестройки. Размер опухоли колеблется от незначительного, такие новообразования никак себя не проявляют, до 5 см.
…
- Почему возникает
- Симптомы
- Виды
- Диагностика
- Лечение
- Хирургическое лечение
Почему возникает
На сегодняшний день врачи не могут точно ответить на вопрос из-за чего развивается фиброаденома, но точно найдено влияние на её появление гормонов.
Грудная железа является «мишенью» для гормонов в особенности половых (прогестерон, эстроген, пролактин). За всю жизнь женщина проживает много изменений уровня половых гормонов: пубертатный период, менопауза, беременность и обычный менструальный цикл.
Такие колебания приводят к постоянному изменению молочной железы, что приводит к разрастанию её элементов (гиперплазия) и нарушению развития (дисплазия).
Некоторые другие заболевания приводят нарушению гормонального фона и развитию фиброаденомы: заболевание гипофиза, яичников, надпочечников, печени, нарушение менструального цикла.
Отмечен также повышенный риск развития у девушек принимавших оральные контрацептивы до 20 лет.
Симптомы
Опухоль может никак себя не проявлять. Её можно нащупать в груди как плотный, эластичный, очень подвижный «шарик» с гладкой поверхностью.
Редко пальпация образования может сопровождаться болью. Чаще всего опухоль находят случайно при профилактических осмотрах.
Беременность, как правило, провоцирует бурный рост новообразования, связано это с гормональной «бурей» в организме женщины.
Виды
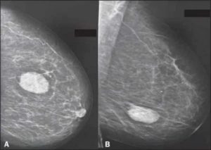
Как выглядит фиброаденома (нажмите для увеличения)
- Периканикулярная. В случае такой опухоли разрастание соединительной ткани происходит в приделах одной дольки железы. Опухоль чётко ограничена от окружающий тканей, плотная, расположена рядом с выводными канальцами молочной железы, но не прорастает в них. Опухоль может пропитываться солями кальция (чаще это происходит у пожилых женщин), и образовывать кальцинаты, которые хорошо видны на маммограмме.
- Интроканикулярная. При таком виде у опухоли сегментированное строение, рыхлая консистенция, четких контуров нет. Новообразование плотно срастается со стенками протоков железы и прорастает в них.
- Филлоидная (листовидная). Эта опухоль может достигать огромных размеров и даже разрастаться, занимая практически весь объём железы. Боли в груди бывают именно при этой форме фиброаденомы. Кожа над такой опухолью становиться дряблой, синюшно-багряной. Возможны выделения из соска. Филлоидная фиброаденома считается пограничной формой и способна перерождаться в злокачественную раковую опухоль.
Диагностика
Часто заподозрить опухоль молочной железы можно после её пальпации, для уточнения диагноза вас направят к врачу маммологу или онкологу.
В диагностики фиброаденомы поможет УЗИ исследование, которое чётко видит образование и способно отличить его от кисты молочной железы.
Определить доброкачественное или злокачественное образование поможет пункционная биопсия. Под контролем УЗИ делается прокол иглой и забирается участок опухоли, который потом изучает гистолог, и определяет состав клеток образования.
Лечение
Лечение фиброаденомы возможно как хирургическое так и консервативное (с помощью лекарств).
Мнение врачей в вопросе консервативного лечения расходятся. Одни считают что эффективно только хирургическое удаление опухоли, другие говорят, что при маленьких (до 3 см) опухолях можно прибегнуть к консервативному лечению.
Для избрания правильной тактики лечения вам необходимо обратиться к врачу маммологу или онкологу, которые проведут необходимые диагностические мероприятия и назначат лечение. Ответить на вопрос удалять фиброаденому или нет может только врач.
Для лечения без операции необходимо:
- нормализация гормонального фона;
- избавление от избыточного веса;
- приём препаратов йода в малых дозах;
- использование витамина Е.
Нормализации гормонального фона добиваются путём грамотного назначения гормональных контрацептивов таких как Дюфастон, Клайра, Фемостон. Эти препараты содержат в своём составе аналоги прогестерона и эстрогена, которые нормализуют циклические колебания этих гормонов в организме.
Важно знать: оральные контрацептивы – гормональные препараты, используются не только для предупреждения нежелательной беременности, но и для нормализации гормонального фона.
На рынке множество противозачаточных, состав их разный и оптимальный препарат нужно подбирать совместно с врачом. Также для нормализации гормонального баланса можно использовать Мастодинон.
Это фитопрепарат, который нормализует выработку пролактина, стимулирующего пролиферативные процессы в молочной железе. Эффект от приёма препарата можно ощутить через полгода применения.
Мастодинон можно принимать как отдельно так и в комплексной терапии. Назначение этих препаратов должен строго контролировать врач.
Источником йода может стать настойка на перегородках грецких орехов. Приготовить её вы можете самостоятельно, возьмите банку объёмом 0,5л заполните на треть перегородками, долейте в банку водки, настаивать стоит около месяца в темном месте.
Обратите внимание: не занимайтесь самолечением и лечение народными средствами. Это патология, и если не лечить её у врача это приводит к малоприятным последствиям.
Готовую настойку нужно пить по 1 столовой ложке 1 раз вдень, запивая стаканом воды. Хорошо в терапии фиброаденомы показал себя препарат Мастофит.
В его состав входит активное вещество из капусты брокколи и экстракт фикуса. Препарат является онкопротектором, снижает риск развития гормонозависимых опухолей.
Хирургическое лечение
Имеется два традиционных метода удаления фиброаденомы:
- Секторная резекция. При этом методе удаляется долька молочной железы, а с ней и опухоль. Применяется в том случае, если опухоль прорастает в строму железы и не имеет чётких контуров.
- Вылущивание опухоли. В этом случаи отделяют ткани железы от капсулы опухоли, и удаляют только фиброаденому.
Современные методы удаления:
- Вакуум экстракция. Над опухолью делают небольшой разрез, под контролем УЗИ вводя специальный аппарат, который при помощи вакуума удаляет опухоль.
- Лазерная абляция – клетки опухоли облучают лазерными лучами, которые уничтожают их.
- Криоабляция – метод схожий с лазерной абляцией, но используется замораживание.
С целью профилактики женщинам рекомендуется избегать горячих ванн (температура воды должна быть менее 38С), эмоциональных переживаний, вовремя лечить женские болезни и не пренебрегать профосмотрами.
Как лечат фиброаденому, смотрите в следующем видео комментарии врача:
Источник: https://anatomia-mastopatii.com/drugie-bolezni/fibroadenoma/lechenie-udalenie.html
Диета при фиброаденоме молочной железы: что можно и нельзя есть, меню, принципы питания

При постановке диагноза фиброаденома врач рекомендует, кроме комплексного лечения, обратить внимание и на ежедневный рацион. Он должен быть сбалансированным и исключать употребление продуктов, способствующих повышению женского полового гормона – эстрогена. Питание при фиброаденоме молочной железы формируется один раз и соблюдается всю жизнь, так как имеет ключевое значение в терапии.
Организму легче переваривать и усваивать пищу, если она употребляется небольшими порциями в течение всего дня. Под контролем должна быть калорийность блюд, а также состав меню. Если в день женщина потребляет больше килокалорий, чем расходует, то это приведет к лишнему весу, который усугубляет течение заболевания. Ряд продуктов полностью исключается.
Основные цели диеты
Фиброаденома представляет собой доброкачественное образование с фиброзным компонентом. Оно достаточно распространено у женской половины населения, находящегося в репродуктивном возрасте.
Появляется в результате нарушения гормонального баланса в организме или на фоне хронических болезней половых органов. Лечится болезнь комплексно, с использованием гормональной терапии, медикаментов и коррекции образа жизни.
Исключаются факторы стресса, меняется питание, принимаются медикаменты. Врачи рекомендуют полностью отказаться от вредных продуктов. Основными задачами диеты являются:
- Нормализация веса, для снижения нагрузки на железистую ткань и замедления развития болезни.
- Уменьшение количества продуктов, способствующих выработке эстрогена, для более эффективного рассасывания новообразований.
- Купирование болевого синдрома в груди естественным образом.
- Минимизация вероятности появления осложнений.
- Снижение нагрузки на другие органы и улучшение пищеварения.
Сбалансированное питание и употребление клетчатки влияет на работу кишечника, препятствует образованию запоров. Именно они становятся причиной изменения микрофлоры и всасывания уже переработанного эстрогена вместе с желчью. Этот гормон выводится из организма за счет хорошей работы печени и желчных протоков. Поэтому питание направлено и на поддержку этих органов.
Принципы питания при фиброаденоме
Фиброаденома является заболеванием, для которого не предусмотрена специальная диета. Однако пациентке обязательно следует соблюдать правильное питание. Основной рекомендацией чаще всего является включение в рацион свежих продуктов, овощей, фруктов, зеленого чая.
Важными принципами питания в процессе лечения и профилактических мероприятий являются:
- Употребление большого количества пищи растительного происхождения. Особенно это касается яблок, морской капусты, свеклы, морковки, болгарского перца и ряда зерновых. В них содержатся нерастворимые волокна, которые помогают эффективно выводить из организма эстроген.
- Включение в рацион зеленого чая. Он является источником антиоксидантов и биологически активных компонентов, необходимых человеку для поддержки здоровья. В составе содержатся витамины группы В, А, P, С, органические кислоты и эфирные масла.
- Включение в рацион репы, капусты, горчицы и редиса. В этих продуктах содержится индол-3-карбинол, способствующий усиленному выведению эстрогена из организма.
- Отказ от употребления бобовых (за исключением сои). Такие продукты, как горох, бобы или фасоль являются источниками фитоэстрогена, поэтому их из меню убирают. Но это правило не касается сои, она, напротив, обладает антиэстрогенным свойством и повышает эффективность терапии.
- Снижение количества жиров. Из рациона убираются все жирные блюда и заменяются приготовленными на пару. Нельзя повторно использовать масло для приготовления еды, так как в нем скапливаются канцерогены, негативно сказывающиеся на состоянии.
Пациенткам также рекомендуют отказаться от натурального кофе, особенно тем, кто употребляет его в больших количествах. Причина в том, что он, поднимая уровень жирных кислот в крови, способствует ухудшению состояния.
Важно в период лечения полностью отказаться от вредных привычек. Это касается употребления алкоголя и курения. Даже нахождение в помещении с курильщиком (пассивное курение) негативно влияет на организм.
Рекомендованное питание
Пациенту с диагнозом фиброаденома молочной железы необходимо сбалансировать свое питание таким образом, чтобы организм получал достаточное количество полезных элементов, витаминов и минералов, и при этом минимизировалась нагрузка на печень, желчную систему и другие органы.
Из рациона убираются все продукты, способствующие повышению эстрогенов в крови. Сформировать свое питание следует полностью из разрешенных продуктов. К ним относятся:
- Мясо: говядина, кролик, конина, индейка, телятина.
- Молочные продукты: кефир, простокваша, ряженка, йогурт и другие.
- Овощи: помидоры, капуста, шпинат, огурцы, морковь, редис и т.д.
- Масло: оливковое, сливочное (натуральное).
- Фрукты: апельсины, грейпфрут, абрикосы, яблоки, груша.
- Ягоды: брусника, клюква, черника и другие.
- Рыба: любая нежирных сортов.
Все продукты желательно выбирать органические, выращенные без гербицидов и пестицидов. В этом случае они принесут организму пользу. Вместо десертов лучше использовать ягоды и фрукты.
Перечисленные продукты используют в приготовлении самых разных блюд, поэтому меню при фиброаденоме нельзя назвать однообразным. Пробуя разные рецепты, меняя составляющие знакомых салатов, можно питаться вкусно и полезно всю жизнь.
Важно обратить внимание на питьевой режим. Количество чистой воды в день должно быть выпито не менее 2 литров. В жаркое время дозировку увеличивают на половину литра.
Запрещенные продукты
Патологии молочной железы требуют от пациента полного отказа от употребления вредных продуктов. При этом он не временный, а соблюдается на протяжении всей жизни в качестве профилактических мер. Из рациона в обязательном порядке убираются следующие продукты, способные провоцировать осложнения болезни:
- Полуфабрикаты, купленные в магазине.
- Консервы или продукты с искусственными добавками.
- Алкоголь.
- Жареная еда или содержащая большой процент жира.
- Продукты не первой свежести (подгнившие или вялые овощи).
- Покупные десерты (печенье, конфеты, торты).
Следует также отказаться от острых и копченых блюд, стараться готовить еду без употребления большого количества специфических приправ. Нельзя есть свежий хлеб из магазина, батоны и сдобу.
Примерное меню
Питание при лечении заболевания может быть вкусным и разнообразным, если использовать все рекомендованные продукты, чередуя их и осваивая каждый раз новые рецепты. Рацион пациентки должен состоять из 5-6 приемов пищи, самый плотный в первой половине дня.
В целом меню должно быть не больше 2 тысяч килокалорий в сутки при нормальной активности. Для женщин с пассивным образом жизни – 1500 килокалорий в день. Примерное меню на неделю будет выглядеть следующим образом.
Понедельник:
- Завтрак: приготовленная на воде овсянка, с добавлением банана или кураги, молоко.
- Ланч: 2-3 кусочка соевого сыра и стакан зеленого чая.
- Обед: овощной суп, 200 г запеченной рыбы, салат из помидоров, йогурт и апельсин.
- Полдник: стакан клубники.
- Ужин: 150 г куриного филе с овощами, зеленый чай с половиной ложки меда.
Вторник:
- Завтрак: куриные яйца 2 штуки (вареные или всмятку), стакан кефира.
- Ланч: половина помело.
- Обед: суп, запеченные помидоры с баклажанами и сыром фета, салат, кисель.
- Полдник: самостоятельно приготовленный йогурт.
- Ужин: 150 г индейки с макаронами из твердых сортов пшеницы, зеленый чай.
Среда:
- Завтрак: бутерброд с сыром и помидором, подогретый в духовке, напиток с цикорием.
- Ланч: яблоко, запеченное с медом и корицей.
- Обед: зеленый суп с крапивой или щавелем, салат со свеклой, тефтели из нежирного мяса, компот из сухофруктов.
- Полдник: 2 кусочка сыра с инжиром.
- Ужин: запеканка из творога со сметаной, отвар шиповника.
Четверг:
- Завтрак: гречка с молоком, напиток из цикория.
- Ланч: 2 апельсина или 1 грейпфрут.
- Обед: свекольник, салат из огурцов и помидоров, котлеты на пару, морс из ягод.
- Полдник: тост из цельно зернового хлеба с сыром.
- Ужин: тушеные овощи с кальмаром, травяной чай, крекер.
Пятница:
- Завтрак: творожная смесь (хорошо перебитый творог) с зеленью, тост из домашнего хлеба, отвар шиповника.
- Ланч: коктейль из фруктов.
- Обед: куриный суп с сухариками, салат из водорослей, картофель с парной котлетой, кисель.
- Полдник: 3 штуки помидоры черри.
- Ужин: плов из овощей, суфле.
Суббота:
- Завтрак: омлет, тост и травяной напиток.
- Ланч: банан.
- Обед: суп из фасоли, салат с морковью, парная рыбная котлета, компот из яблок.
- Полдник: тост с сыром.
- Ужин: макароны из твердых сортов пшеницы с креветками, чай.
Воскресенье:
- Завтрак: гречка, напиток из цикория или стакан молока.
- Ланч: мандарин.
- Обед: крем-суп из моркови, салат из свежих овощей, кусок рыбы с картофельным пюре, апельсин.
- Полдник: немного орехов.
- Ужин: индейка на пару с помидорами, груша или домашний йогурт.
Придерживаясь такого питания, можно не только улучшить самочувствие и усилить эффект лечения, но и быстро нормализовать вес.
Источник: https://onkologia.ru/dobrokachestvennyie-opuholi/molochnaya-zheleza/dieta-pri-fibroadenome-molochnoy-zhelezy/
Витамины при фиброаденоме молочных желез

Несомненно, фиброаденома молочной железы заболевание сложное, неоднозначное, но самое неприятное заключено в том, что это заболевание практически непредсказуемо. Вероятно, именно поэтому данное заболевание вызывает массу толков, обоснованных и необоснованных запретов или противопоказаний.
Какие из таких противопоказаний имеют под собой научное обоснование, а какие являются не более, чем разговорами обывателей. К примеру, многие противопоказания, такие как полный запрет на получение любой интенсивности солнечных ванн (загара) существенно преувеличены.
Хотя, таковые несомненно, имеют смысл, но в значительно меньших объемах нежели об этом принято говорить.
Традиционная медицина убеждена, что солнечные ванны, принимаемые рано утром или после пяти часов вечера, в купальнике, скрывающем грудь, в течение умеренного количества времени, несомненно, могут принести только пользу любым женщинам.
В том числе пациенткам, которые страдают от такого заболевания как фиброаденома молочной железы (если опухоль не дает активного роста и находится под наблюдением врача).
Кроме того, невероятное количество разногласий вызывают вопросы, касающиеся того, как правильно должна питаться, как должна изменить образ жизни женщина, услышавшая диагноз фиброаденома молочной железы.
Ведь медиками давно доказано, что правильно подобранная диета, (представляющая собой правильное сбалансированное питание) способна в существенной мере помочь выздоровлению или облегчению симптоматики фиброзно-кистозной болезни.Но, все-таки, ответы на вопросы, касающиеся обоснованных запретов или противопоказаний, которых следует придерживаться женщинам с диагнозом фиброаденома молочной железы, следует искать в причинах развития данной патологии.
Основные факторы, способные стимулировать развитие и рост фиброаденомы в груди
Учеными, на сегодня, так и не были установлены реальные причины развития такого заболевания как фиброаденома молочной железы. Тем не менее, современные ученые смогли выяснить и доказать, что рост фиброзной опухоли в молочной железе могут стимулировать:
- Ежедневная либо просто преобладающая крайне неблагоприятная психоэмоциональная обстановка, в которой находится женщина. Это могут быть частые стрессы, глубокие депрессии, и пр.
- Частые физические перенапряжения и даже стрессы.
- Чрезмерные инсоляции (или чрезмерный приём длительных солнечных ванн как в естественных палящих условиях, так и в солярии).
- Чрезмерно частый прием слишком горячих общих ванн, когда температура воды превышает 38°С.
- Частое использование непрофессионального локального массажа груди с усиленным разминанием первичных «уплотнений» в таковой.
Естественно, что обоснованные медицинские запреты могут напрямую зависеть от вышеописанных факторов.
Так, практикующие врачи настаивают, что при диагнозе фиброаденома молочной железы женщинам не рекомендуется получать чрезмерных физических или психоэмоциональных нагрузок.
Обязательно, отказываться от чрезмерных инсоляций, в особенности если это прием солнечных ванн в обеденное время, под открытым палящим солнцем, без верхней части купальника, призванной скрывать грудь.
Желательно оказаться от слишком частого приема горячих ванн, любых тепловых процедур на грудь с имеющимся уплотнением, и конечно же, от непрофессиональных массажей груди и просто механического воздействия на таковую. Несомненно питание женщин с диагнозом фиброаденома молочной железы так же имеет свою специфику, о которой далее пойдет речь.
Правильное питание при фиброзных опухолях
Женщинам с установленным и четко подтвержденным диагнозом фиброзно-кистозная мастопатия либо же фиброаденома, следует обращать особое внимание на правильность и сбалансированность своего питания.
В данном случае, важна правильная четко сбалансированная диета, которой придется придерживаться всю жизнь.
Естественно, правильная диета подразумевает исключение из рациона всего, что будет способствовать повышению эстрогенов в крови. (Напомним, что эстроген – это такой женский половой гормон, вырабатываемый яичниками, который ответственен за многие процессы женской репродуктивной сферы).
К примеру, медики убеждены, что существует целый ряд продуктов питания, способных в существенной мере снижать уровень эстрогенов. Но, наряду с этим есть и такие продукты, которые с точностью наоборот, обладают полностью противоположным (повышающим уровень эстрогена) эффектом.И это означает, что правильная диета для женщины с подобным диагнозом должна удовлетворять нескольким не сложным правилам перечисленным ниже.
Правило №1. Употреблять как можно больше естественной растительной пищи.
Важно помнить, что именно в растительной пище находится наибольшее количество полезнейших волокон, (нерастворимых в том числе), которые способны связывать и выводить из организма женщины излишние эстрогены.
Е. Малышева: В последнее время я получаю много писем от моих постоянных зрительниц о проблемах с грудью: МАСТИТЕ, ЛАКТОСТАЗЕ, ФИБРОАДЕНОМЕ. Чтобы полностью избавиться от этих проблем, советую ознакомиться с моей новой методикой на основе натуральных ингредиентов .
К таким полезным продуктам относят морскую капусту и иные водоросли, богатые клетчаткой яблоки, морковь, свеклу, любую капусту, помидоры, сладкий перец, пророщенные зерновые и пр.
Правило №2. Заметить кофе и черный чай не крепким зеленым чаем.
Считается, что зеленый чай, который содержит в себе массу антиканцерогенных веществ, при употреблении его в умеренных количествах способен быть как нельзя кстати при данном заболевании. Именно с зеленым чаем в женский организм поступят множество биологически активных веществ, эфирных масел, органических кислот, дубильных веществ, витаминов и пр.
Правило №3. Желательно увеличить в рационе общее количество растений относимых к семейству крестоцветных.
Напомним, это такие растения как редис, репа, любого типа капуста, и даже горчица. Именно из таких растений ученые смогли выделить вещество, знакомое нам как индол-3-карбинол, усиливающее выведение эстрогена из женского организма.
Правило №4. Максимально уменьшить употребление животных жиров.
Именно жирная пища способна вызывать усиление выделения желчи. Ведь, именно желчь считается своеобразным эндогенным (внутренним) канцерогеном. Переизбыток желчи ведет к снижению защитных сил человека, что может способствовать развитию опухолевидных процессов.
Желательно не курить самой и даже не находиться в одном помещении с курильщиками, поскольку канцерогены табака способны проникать в организм даже во время пассивного курения!
Знаете ли вы, что более 70% человек заражены различными ПАРАЗИТАМИ, которые живут и размножаются в нашем организме. При этом человек живет полноценной жизнью и даже не подозревает, что разводит внутри себя этих страшных червей и личинок, разрушающих внутренние органы. И их первыми признаками в организме человека являются ПАПИЛЛОМЫ, БОРОДАВКИ И ГЕРПЕС , а так же ГРИПП и ОРВИ.
- нервозность, нарушение сна и аппетита;
- аллергия (слезящиеся глаза, высыпания, насморк);
- частые головные боли, запоры или понос;
- частые простуды, ангину, заложенность носа;
- боли в суставах и мышцах;
- хроническую усталость (Вы быстро устаете, чем бы ни занимались);
- темные круги, мешки под глазами.
Источник: https://vitamingid.ru/articles/vitaminy-pri-fibroadenome-molochnyh-zhelez/
Питание при фиброаденоме молочной железы

Главной целью изменения рациона является замедление, а еще лучше прекращение роста опухоли. В молодом возрасте правильный и комплексный подход может обеспечить даже полное рассасывание новообразования.
К сожалению, в более зрелом возрасте добиться такого результата вряд ли получится.
Тем не менее рационально составленное меню однозначно может существенно поддержать организм и остановить дальнейшее развитие болезни.
При разработке схемы питания следует помнить о возможных причинах заболевания. Точная этиология учеными пока не установлена. Однако абсолютно достоверным фактом является зависимость скорости разрастания пораженной ткани в груди от количества в организме эстрогена (главного женского гормона).
Кроме того, дополнительными провоцирующими факторами могут быть:
- неблагоприятная экология;
- стрессовые состояния;
- лишний вес;
- заболевания щитовидной железы;
- иммунодефициты.
Таким образом, продумывая свой ежедневный рацион, необходимо постараться свести к минимуму возможность влияния перечисленных выше факторов.
Рекомендации по организации питания
Общеизвестные правила здорового питания полностью применимы к больным с обнаруженным уплотнением в груди. Однако диета при фиброаденоме молочной железы имеет некоторые дополнительные особенности, которые стоит учитывать. Основные правила:
- Исключить продукты, увеличивающие уровень эстрогена. Особенно это касается всех бобовых. Исключение составляет соя. Она оказывает противоположный эффект и даже широко используется в составе комплексной терапии рака груди. Однако употреблять можно только немодифицированные семена. Среди овощей чемпионами по содержанию фитоэстрогена являются помидоры и тыква.
- Травяные чаи перед употреблением тщательно проверять на наличие в составе потенциально опасных растений. Изменить гормональный фон может красный клевер, пажитник, хмель (по этой причине от пива тоже придется отказаться).
- Из напитков лучше выбрать зеленый чай. Его антиканцерогенные свойства обеспечиваются содержащимися в листочках эфирными маслами, витаминами, флавоноидами и другими полезными веществами. Что касается кофе, его употребление лучше ограничить. До недавнего времени считалось, что кофейные зерна угнетают выработку эстрогена. Однако последние исследования доказали обратное. Подробно о вреде кофе вы можете узнать здесь — Вред кофе — 7 побочных эффектов.
- Налегать на растительную пищу. Содержащиеся в ней пищевые волокна помогут вывести из организма излишки эстрогена. Особенно полезны репа, редис и горчица. Морская капуста поможет устранить йододефицит. А морковь, яблоки и свёкла восполнят недостаток витаминов.
Подробно о том, как уменьшить уровень эстрогена вы можете узнать на этой странице — Как снизить эстрогены у женщин: 10 способов снижения эстрогенов.
Какие продукты употреблять
При фиброаденоме рекомендуется ввести в свой рацион:
- экологически чистые, натуральные продукты, не имеющие в своем составе подозрительных химических добавок и красителей;
- продукты, содержащие бета-каротин – их благоприятное влияние на состояние молочных желез особенно актуально для курящих женщин;
- овощи и фрукты (в повышенных количествах) особенно полезны в свежем виде, в идеале – прямо с грядки;
- чернику – самую полезную ягоду при борьбе с опухолями различной локализации;
- куркуму – не более чайной ложки специи в день;
- измельченное льняное семя, способное замедлить рост уплотнений (по данным исследований, проведенных в Университете пищевых технологий, Торонто);
- грецкие орехи – эффективно замедляют прогрессирование заболевания за счет содержания в своем составе омега-3 жирных кислот.
Нормализация массы тела
На первый взгляд, избыточная масса тела не имеет ничего общего с фиброаденомой молочной железы. Однако такое предположение ошибочно.
Во-первых, лишний вес приводит к многочисленным нарушениям работы различных органов и систем, что в конечном счете отрицательно сказывается на общем состоянии организма. Во-вторых, жировые клетки содержат в своем составе эстроген.
Следовательно, чем больше жира, тем выше риск развития опухоли. Таким образом, больным обязательно следует придерживаться умеренности, и соблюдать принципы здорового питания.
Определение нормы веса
Почти каждая женщина считает себя недостаточно стройной. Однако фанатичное похудение может только навредить здоровью. Поэтому для объективной оценки своей фигуры надежнее использовать один из проверенных научных методов:
- Формула французского доктора Брока. В расчете учитывается рост, тип телосложения и возраст: рост (в см) минус 100. При росте ниже 165 см дополнительно вычитают еще 5 см, выше 175 см – еще 10 см. Худощавые отнимают от полученного результата 10%, обладательницы плотного телосложения столько же прибавляют. Для учета возраста девушки до 30 лет уменьшают полученный результат на 11%, дамы после 50 – увеличивают на 6%.
- Метод Лоренца. Подходит только для молодых девушек до 30 лет. Расчет производится по формуле: рост — 100 — 0,25 × (рост — 150).
- Формула оптимального веса женщины с учетом роста и возраста: 0,9 × (50 + 0,5 × (рост — 150)) + 0,5 × (возраст — 20).
Советы для похудения
Если результаты расчетов не порадовали, вес оказался объективно выше нормы, не стоит сразу жестко ограничивать себя во всем.
Любые крайности, в том числе и резкое похудение – стресс для организма, который неизвестно, как он отреагирует на нехватку питательных веществ.
Тем не менее рекомендуется постепенно переходить на новый режим питания с учетом своего заболевания. Важно понимать, что диеты придется придерживаться постоянно.
Итак, для мягкого снижения веса нужно:
- Учитывать не только калорийность употребляемых блюд, но и их качественный состав. Правильное соотношение всех необходимых веществ обеспечит организм энергией, не вызывая при этом необходимости «делать запасы».
- Пить воду. Самый заметный эффект оказывает теплая (50-60 градусов) вода с капелькой лимонного сока, но можно пить и обычную негазированную комнатной температуры. Главное – следить за объемом употребляемой жидкости. Ежедневная норма составляет 30 мл на килограмм веса. При этом важно равномерно распределять поступление воды в течение дня. Выпить залпом сразу пол-литра – не самая лучшая идея.
- Не травмировать организм длительным чувством голода. С этой целью приемы пищи лучше организовывать часто, а вот порции стоит уменьшить.
- Изменить способ приготовления блюд. Вместо жарения использовать тушение или запекание, а еще лучше – готовку на пару. Творческие личности здесь откроют целое поле для кулинарных экспериментов.
- Научиться радоваться жизни. Недавно проведенные исследования доказали, что положительный настрой приближает к желанному результату ничуть не хуже, чем диета.
- Привыкать к дисциплине. Для получения стойкого результата необходимо строго придерживаться выбранной программы питания. Конечно, иногда можно в качестве исключения позволить себе что-либо из запрещенных продуктов. Но такие эпизоды не должны входить в систему.
- Не забывать о пользе физических упражнений. Легкая утренняя зарядка и вечерняя пешая прогулка обеспечат достаточный уровень активности днем и крепкий сон ночью.
Рекомендуем к прочтению материал, который способен помочь вам сориентироваться в отношение системы питания, позволяющей естественным образом похудеть – Правильное питание для похудения: как питаться чтобы похудеть.
Главное правило: питание при фиброаденоме молочной железы, как и при любом другом заболевании, должно соответствовать здравому смыслу. Не нужно полностью лишать себя любимых лакомств, даже если они не рекомендуются к употреблению. Безусловно, стоит соблюдать умеренность, чтобы не допустить ожирения.
Но вгонять себя изнурительными диетами и строгими запретами в депрессивное состояние тоже бессмысленно. Это наверняка вызовет неожиданные симптомы, такие как усталость, апатия, бессонница. И, возможно, в конечном итоге нанесет еще больший вред здоровью.
Поэтому самый надежный помощник в составлении ежедневного меню – это бережное и чуткое отношение к себе и своему организму.
Источник: https://www.magicworld.su/diety/diety-dlya-lecheniya/871-pitanie-pri-fibroadenome-molochnoj-zhelezy.html
Можно ли принимать витамины при фиброаденоме молочной железы

Несомненно, фиброаденома молочной железы заболевание сложное, неоднозначное, но самое неприятное заключено в том, что это заболевание практически непредсказуемо. Вероятно, именно поэтому данное заболевание вызывает массу толков, обоснованных и необоснованных запретов или противопоказаний.
Какие из таких противопоказаний имеют под собой научное обоснование, а какие являются не более, чем разговорами обывателей. К примеру, многие противопоказания, такие как полный запрет на получение любой интенсивности солнечных ванн (загара) существенно преувеличены.
Хотя, таковые несомненно, имеют смысл, но в значительно меньших объемах нежели об этом принято говорить.
Традиционная медицина убеждена, что солнечные ванны, принимаемые рано утром или после пяти часов вечера, в купальнике, скрывающем грудь, в течение умеренного количества времени, несомненно, могут принести только пользу любым женщинам.
В том числе пациенткам, которые страдают от такого заболевания как фиброаденома молочной железы (если опухоль не дает активного роста и находится под наблюдением врача).
Кроме того, невероятное количество разногласий вызывают вопросы, касающиеся того, как правильно должна питаться, как должна изменить образ жизни женщина, услышавшая диагноз фиброаденома молочной железы.
Ведь медиками давно доказано, что правильно подобранная диета, (представляющая собой правильное сбалансированное питание) способна в существенной мере помочь выздоровлению или облегчению симптоматики фиброзно-кистозной болезни.Но, все-таки, ответы на вопросы, касающиеся обоснованных запретов или противопоказаний, которых следует придерживаться женщинам с диагнозом фиброаденома молочной железы, следует искать в причинах развития данной патологии.
