Что такое персистирующее кистозное желтое тело

Содержание

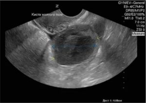
Кистозное желтое тело в яичнике

Что такое персистирующее кистозное желтое тело

Врачи относят к кистозным образованиям в яичнике 2 типа – фолликулярная и киста желтого тела. Эти доброкачественные опухоли имеют самое большое распространение. Их число превышает 30% от всех образований, которые встречаются в женских яичниках. Кистозное желтое тело в яичнике может быть как в левой, так и в правой стороне.

Киста – это некое образование, которое имеет внутри себя жидкость. Она формируется из ткани яичников там, где после менструации осталось желтое тело. Это происходит из-за того, что желтое тело не регрессировало до конца и осталось в тканях.

Причины возникновения

Чаще всего киста желтого тела образуется у молодых девушек, у которых происходит формирование цикла, и у взрослых женщин детородного возраста. Их формирование происходит из-за воспалительных процессов в органах половой системы, и сбоя работы в гормональной системе у женщины.

Очень часто во время формирования кисты женщина не ощущает никаких изменений в своем организме. Только в очень редких случаях могут возникать небольшие болезненные ощущения в области низа живота. Также могут наблюдаться сбои в цикле менструаций.

На сегодняшний день медиками еще не определено точных причин возникновения кисты желтого тела. Известно только одно: эти процессы полностью связаны с функционированием и особенностями строения яичников.

Многие врачи придерживаются мнения, что образование кисты в яичниках зависит от гормонального состава, а именно от тех гормонов, которые вырабатывает гипофиз. Именно они непосредственно занимаются регулированием работы яичников.

Среди самых веских причин образования кисты называют следующие:

  • разного рода инфекционные заболевания (чаще всего именно те, которые передаются половым путем), затрагивающие трубы матки и яичники;
  • частое возникновение стрессов, которые могут переходить в хроническое состояние;
  • условия работы, которые признаны вредными для здоровья;
  • если женщина очень часто сидит на диетах, особенно монодиетах.

Среди основных факторов риска возникновения заболевания становятся такие:

  • частое использование медикаментов быстрое контрацепции;
  • если женщина принимает препараты, которые стимулируют овуляцию;
  • при лечении бесплодия также назначаются препараты, которые стимулируют рост кисты желтого тела.

Также существует ряд неблагоприятных факторов, которые влияют на образование таких кист:

  • физические и эмоциональные нагрузки, если они превышают норму;
  • последствия после сделанных абортов – из-за этого происходят очень сильные сбои в работе гормональной системы;
  • менструации у девушки начались очень рано;
  • у женщины наблюдается болезнь щитовидки.

Существует и теория, которая подразумевает склонность к возникновению кист, которая закладывается в организме у женщины еще до ее рождения. После наступления полового созревания или возникновения других факторов, такая киста просто проявляет себя.

Также некоторые ученные думают, что рост случаев возникновения кисты желтого тела можно объяснить тем, что женщины в последние годы начали намного меньше рожать.

И если когда-то у каждой семьи было по 5-9 детей, то сейчас это число существенно сократилось – до 1-2. Как следствие, у того поколения женщин менструаций было всего 30-40. У современной же женщины это число становится раз в десять большим.

Это приводит к частому разрыванию оболочек яичника, а уже это является очень большим стрессом для организма женщины.

Кистозное желтое тело может развиться в правом или левом яичнике и из-за наследственного фактора.

Симптомы

Как правило, это заболевание протекает практически бессимптомно. Кисту желтого тела еще называют временной, так как при наступлении следующей менструации она должна уменьшится, а еще через 2 цикла и вовсе пропасть.

Диаметр такой кисты не больше 5-8 сантиметров, поэтому не приносит сильного беспокойства больной. Но это не значит, что такую болезнь можно упускать из виду. Наоборот, женщина должна постоянно наблюдаться у своего гинеколога.

Очень редко, обычно при возникновении воспалительных процессов, женщины при таком образовании в яичнике могут ощущать следующие симптомы:

  • болезненные ощущения в районе матки с обоих боков;
  • внизу живота (в области образования) может чувствоваться несущественный дискомфорт, тяжесть;
  • женщина может заметить нарушения в менструальном цикле, или долго длящиеся месячные;
  • в большинстве случаев такая киста не переходит в разряд злокачественных, но может случаться и такое.

При пальпации можно ощутить подвижное круглое образование, которое не вызывает боли.

Осложнения

Наиболее сильные и очевидные симптомы появляются только в тех случаях, если у женщины появились осложнения. Среди них можно выделить такие, как:

  • неправильное расположение ножки яичника;
  • разрывы кисты.

Если в первом случае женщину беспокоят боли, которые нарастаю постепенно, то второй случай сопровождается сильной резкой болью и обильным кровотечением (как правило, внутренним). Кроме того, женщину преследуют такие симптомы:

  • острие болезненные ощущения, которые имеют характер схваток;
  • рвота;
  • живот постоянно находится в напряженном состоянии;
  • невозможность вовремя сходить в туалет (иногда – запоры);
  • во время пальпации брюшной полости ощущается резкая боль.

Если же кровотечение становится слишком обильным, у женщины может падать артериальное давление.

Обе вышеприведенные ситуации требуют срочного хирургического вмешательства, поэтому после возникновения таких симптомов следует сразу же обратиться к врачу.

Стадии развития кисты

Кистообразное образование желтого тела имеет 4 стадии развития:

  1. Первая начинается сразу же после овуляции. Причиной этому становится размножение клеток того фолликула, который лопнул.
  2. На второй стадии клетки прорастают в кровеносные сосуды. Первые две стадии длятся около 4 дней.
  3. На третьей стадии можно наблюдать увеличение гормональной активности. Тело активно начинает свой рост и увеличивается до 1-2 сантиметров. Оно приобретает темно-красный цвет и начинает выделяться над уровнем яичника. Через неделю после овуляции образование максимально активирует гормональную деятельность. Оно начинает выделять женские гормоны.
  4. Последнюю, четвертую стадию еще называют обратной, так как в этот период начинается уменьшение клеток желтого тела. После того как после овуляции пройдет около 2 недель, клетки этого образования начинают замещаться соединительными тканями. Этот процесс полностью закончится только на 45 дней. В это время все клетки желтого тела станут белыми телами.

Желтое тело, которое возникает во время менструации, может существовать около двух недель. После этого начинается регресс в его росте и развитии.

При беременности

Обнаруженная у беременной женщины киста желтого тела яичника не должна стать причиной для беспокойства, так как сама по себе она не несет в себе угрозы ни для матери, ни для ее будущего малыша. Но все же следить за ее состоянием следует. Это делают при помощи УЗИ.

В тех случаях, когда размер кисты превышает 5 сантиметров и постепенно не уменьшается, врачи могут принять решение о хирургическом вмешательстве. Это делается исключительно ради того, чтобы предотвратить осложнения.

Но такое случается крайне редко. В большинстве случаев киста по истечении 20 недель после зачатия должна рассосаться самостоятельно. В это время хорошее функционирование гормонального фона обеспечивает плацента. И даже если киста у женщины была еще до беременности, в нормальном состоянии она должна уменьшиться к минимуму за 20 недель беременности.

Лечение

Если у женщины не наблюдается симптомов во время роста и развития кисты, ей нужно просто около трех месяцев наблюдаться у гинеколога и делать в это время УЗИ для контроля заболевания.

В первую очередь больная должна пройти все исследования и анализы. Только на их основании можно узнать о причинах возникновения образования. Уже после этого можно назначать терапию.

Она должна включать в себя противовоспалительные препараты, контрацептивы для нормализации гормонального фона.

Также можно принимать другие действия, которые помогут кисте рассосаться – лечебные ванны, магнитолазерное лечение, орошение и пр.

Терапию гормональными препаратами можно проводить только в том случае, если не наблюдается каких-то либо осложнений. Если они все же начались, то единственным лечением станет лапароскопия.

Не стоит забывать и о принятии витаминов. Если у женщины наблюдаются проблемы с лишним весом, то назначается лечебная физкультура и щадящая диета.

Если была выбрана консервативная терапия, пациентке следует избегать излишних физических нагрузок, не допускать большой половой активности, а также время от времени прогревать низ живота.

Начинать оперативное лечение следует только после 3 месяцев с момента возникновения кисты, так как это метод является крайним средством. Киста желтого тела должна рассосаться до 3 месяцев и операция может не понадобиться. Если же ее уменьшения не заметно, то следует применять хирургические методы. Для этого есть несколько причин:

  • из-за образования могут начаться кровотечения в матке;
  • у заболевания есть тяжелые осложнения;
  • образование может перейти в злокачественную опухоль.

Если все же было решено делать операцию, с этим не стоит долго тянуть. Если сделать ее вовремя, то можно избежать больших повреждений яичника. Не нужно ждать того времени, когда придет воспаление или другие осложнения. Тогда последствия будут намного серьезней.

Источник: http://GormonOff.com/zabolevanija/reproductive/kistoznoe-zheltoe-telo-v-yaichnike

Персистенция желтого тела в правом или левом яичнике. Причины, симптомы и лечение

Что такое персистирующее кистозное желтое тело

Как происходит персистенция желтого тела в правом яичнике? Об этом расскажет квалифицированный гинеколог. Путь к материнству очень нелегок. Много процессов происходит в организме, прежде чем осуществляется внутри у женщины такое важное и удивительное событие &#8212, зарождение маленькой жизни.

Как персистенция желтого тела осуществляется в правом яичнике?

Для того чтобы женщина забеременела естественным путем, в ее яичнике обязательно должна произойти овуляция, яйцеклетка созреть. Необходимо присутствие сперматозоидов для ее оплодотворения. Для этих целей в яичнике созревает всего лишь несколько фолликулов, но только одна-единственная достигнет того необходимого размера, чтобы в ней поместилась созревшая яйцеклетка.

Фолликул относится к структурным компонентам яичника, и состоит из яйцеклетки, которая защищена эпителиальными клетками в 1 слой и соединительной тканью в 2 слоя. Фолликулы должны расти и развиваться всегда нормально: ведь они удостоены чести быть источником наступления беременности, благодаря созреванию яйцеклетки.

Фолликул, как задумано природой, должен разорваться, вышедшая половая клетка попасть в маточную трубу, и в этот момент произойти овуляция. В яичнике остается желтое тело, а имеющаяся жидкость &#8212, позади, в маточном пространстве.

Там где фолликул разорвался, появляется рубец, который сформирован на основе соединительной ткани, называемой стигмой. Вокруг появляется такое основание, в состав которого входит лютеин. Он имеет желтый цвет, потому и тело названо также желтым.

Персистенция зрелого желтого тела содержится в цикле, который подразделяется на 2 фазы:

  • фолликулиновая, полноценная.
  • лютеиновая, удлиненная, в среднем до 25 дней.

Во время лютеиновой фазы происходит в организме женщины большая выработка прогестерона. Когда желтое тело достигает нужной стадии созревания, то именно тогда подвергается персистенции.

Вот когда в эндометрии происходит длительная секреторная фаза: он разрастается до появления кровотечения, которое весьма напоминает менструацию.

Однако отторгается эндометрий лишь отдельными участками, в нем наблюдается:

  • отек,
  • совсем небольшие очаги некроза,
  • диапедез эритроцитов.

Опасное поведение гормонов. Персистенция желтого тела может выразиться в более поздних по срокам кровотечениях, отдаленно напоминающих менструацию. Сроки могут отставать на 1-1,5 месяца. Результаты гипертермической базальной температуры говорят о том, что она длительной срок держится на высоком уровне, и нет ее обычного снижения перед очередными месячными.

Высоким является и уровень секреции прогестерона, не наблюдается спад гестагенов, который обязательно должен произойти перед очередной менструацией. Чем это опасно:

  • большое количество скопившихся гестагенов не дает созревать новому фолликулу,
  • замедляется процесс регенерации эндометрия.

Обратите внимание: Если в это время пациентка обратится к врачу, и ей проведут соскоб слизистой оболочки матки, то можно будет обнаружить децидуальные преобразования. В таких случаях можно предположить, что развивается беременность, или произошло ее прерывание уже на ранних сроках.

В это время зачастую можно предположить беременность, так как персистенция незрелого желтого тела &#8212, цикл двухфазный. А 2 фаза длится долго, желтое тело не успевает достигнуть зрелости, и начинается персистенция до того этапа, когда должно быть оптимальное его развитие.

Эндометрий не показывает особых секреторных изменений, базальная температура во 2 фазе не столь заметно повышена &#8212, максимум примерно до 37,3°C.

Гипертермическая температура держится значительно дольше, чем это требуется в такое время цикла. И все эти сведения дают право предполагать, что это беременность.

Рекомендуем узнать: Про массаж яичников и Почему развиваются два желтых тела в разных яичниках

Как фолликул превращается в персистирующий?

Фолликул персистирующий означает, что он является зрелым, но все же продолжает существовать и никак не может разорваться. Конечно же, яйцеклетка не может никак вырваться из неожиданно попавшего плена, задерживаясь в яичнике, и овуляция не сможет осуществиться. В итоге овуляция не произойдет, и беременность не наступит.

Обычно персистирующий фолликул живет 7 дней цикла, реже 10, потом наступает менструация. Но может она наступить в этом случае через несколько месяцев.

А вот с фолликулом происходит метаморфоза: он может переродиться в кисту. Поэтому, чтобы проверить работу репродуктивной системы, могут назначить УЗИ персистенции желтого тела.

И если оно осталось в яичнике, значит, по-прежнему вырабатывает гормон, что уже опасно для здоровья.

Важно! Гормоны &#8212, это хозяева в организме любой женщины, управляющие деторождением. Поэтому если есть гормональные нарушения, это и приводит к персистенции фолликул. Когда происходит 1 стадия цикла, эстрогены отвечают за рост и созревание фолликулов.

Если женский организм функционирует нормально, при овуляции количество эстрогенов падает, но начинает подниматься уровень лютеинизированного гормона. Вот когда фолликул-доминант должен разорваться, чтобы яйцеклетка совершила важное путешествие в маточную трубу для оплодотворения.

Но если гормонов будет мало, то будет развиваться персистенция.

Сама женщина не может понять, что происходит в ее организме. Гинеколог распознает проблему по некоторым признакам, используя для этого результаты исследований:

  • по крови можно определить, что снижен уровень прогестерона, а уровень эстрогенов высокий,
  • УЗИ показывает долгое время наличие фолликул,
  • нет желтого тела и жидкости, которые являются одними из главных признаков овуляции,
  • обильная менструация,
  • нарушения менструального цикла, которые продолжаются несколько месяцев.

Может возникать в правом яичнике персистенция желтого тела, это признак того, что овуляция была. Переход в следующий цикл и является персистенцией. Рекомендуем узнать: Про желтое тело в яичнике и что это

Как лечат патологию?

Выявив такую патологию, назначают курс терапии, в которую в первую очередь включены гормоны.

Требуются те лекарственные препараты, которые смогут подавлять деятельность эстрогенов. Обычно они нужны с 5 по 9 дни цикла на протяжении нескольких месяцев.

Внутримышечно делают инъекции. Это могут быть Прогестерон, Прегин или другие медикаменты. Уколы делают за 9 дней до той даты, когда предположительно начнутся месячные, длится курс от 5 до 7 дней.

Помимо медикаментозного лечения, применяют также:

  • гинекологический массаж,
  • лазеротерапия,
  • ультразвук,
  • электростимуляция.

Лечение должно проходить под наблюдением врача, чтобы он мог контролировать экскрецию гормонов, о чем можно узнать из тестов функциональной диагностики.

Чаще всего терапию персистенции желтого тела начинают с процедуры выскабливания слизистой матки. Когда желтое тело в левом яичнике производит прогестерон, ставят диагноз персистенция желтого тела.

Это означает, что при этом снижен тонус матки, идет отторжение маточного слоя. Поэтому начинаются обильные менструации и продолжаются длительное время. Нужно проверить в этом случае и состояние яичника.

Рекомендуем узнать: Персистирующий фолликул яичника что это такое

Загрузка…

Источник: https://beauty-love.ru/zhenskoe-zdorove/chto-takoe-persistentsiya-zheltogo-tela

Какие гинекологические болезни возникают из-за желтого тела

Что такое персистирующее кистозное желтое тело

Желтое тело в яичнике – это один из компонентов овуляторного процесса и важнейший эндокринный орган в женском организме. Без этой структуры крайне сложно забеременеть и, что главное, сохранить эмбрион на ранних сроках беременности. Чаще всего причиной невозможности забеременеть может стать недостаточность желтого тела.

Лютеиновое анатомическое образование появляется после того, как доминантный фолликул выйдет из яичника.

Пройдя несколько последовательных фаз и активно вырабатывая гормон прогестерон, временный эндокринный орган в яичнике исчезает, но только при отсутствии беременности: если будет зачатие и возникает задержка месячных, то желтое тело продолжает функционировать до момента образования плаценты.

Для гинекологии этот репродуктивный процесс важен в тех случаях, когда происходят нарушения в формировании, созревании и регрессе яичникового образования. Оптимальный вариант диагностики – УЗИ, когда можно увидеть, как образуется фолликул и формируется желтое тело.

Нормальная 2 фаза

Ближе к середине менструального цикла образуется доминантный фолликул. Во время овуляции яйцеклетка выходит из яичника, а на этом месте начинается процесс лютеинизации.

По сути, фолликул является основой для желтого тела и логическим продолжением непрерывного репродуктивного процесса.

Внутри фолликул покрывают гормональные клетки, которые остаются в полости после овуляции.

Именно из этих клеточных структур образуется лютеиновое тело, которое проходит 3 стадии:

  • формирование;
  • функционирование;
  • регресс.

В регулировании и поддержании этого процесса активное участие принимают репродуктивные гормоны:

  • ФСГ;
  • ЛГ;
  • эстрадиол;
  • прогестерон.

В начале лютеинизации фолликул без ооцита уменьшается, а стенки собираются в складки. Когда фолликул разрывается, то всегда временно нарушается кровообращение, но затем проблема с сосудами исчезает: формирующееся лютеиновое образование обеспечивается отличным кровотоком и питанием.

Через несколько дней желтое тело активно функционирует, синтезируя прогестерон для матки и плодного яйца. Если беременности нет, то к концу 2 фазы лютеиновые клетки перестают вырабатывать гормон, уменьшаются в размерах и к моменту месячных исчезают.

Все этапы фолликулогенеза можно увидеть во время УЗИ, а тест на овуляцию подскажет момент выхода яйцеклетки.

Патологические варианты 2 фазы

Нормальное функционирование лютеиновой фазы в первую очередь предназначено для поддержания беременности. Если нет зачатия, то недостаточность желтого тела проявляется укорочением длительности менструального цикла.

Но если женщине удалось забеременеть, то для плодного яйца очень важен уровень прогестерона в крови женщины. Гормон должен постоянно и в достаточных количествах обеспечивать сохранение беременности и рост эмбриона.

Кроме функциональной недостаточности, возможны следующие виды патологии:
сохранение (персистенция) лютеинового тела, когда нет беременности;

Любой из вариантов – это такое состояние яичника, когда страдает эндокринная функция, и нет обеспечения женского организма необходимыми репродуктивными гормонами, что крайне важно для сохранения плодного яйца после оплодотворения и эмбриона после задержки месячных.

Симптомы любого варианта патологии в первую очередь отражаются на менструации. Как правило, у женщин при функциональной недостаточности нечего не болит, а основной признак – сложности с наступлением беременности.

Функциональная недостаточность

Недостаток прогестерона сказывается на способности к зачатию и длительности менструального цикла. Симптомы во многом зависят от того, наступила беременность или нет. В первом случае первый признак – задержка месячных. Женщина делает тест и, получив положительный результат, радуется наступившему зачатию.

Однако именно в это время очень важна работа желтого тела: если нет достаточного количества прогестерона, то необходимо принимать препарат Дюфастон.

На этапе прегравидарной подготовки можно заранее предвидеть этот вариант патологии и своевременно помочь сохранить жизнь плодного яйца.
Беременность может не наступить.

В этом случае недостаточное количество прогестерона может стать причиной для укорочения цикла и появления гормонального дисбаланса. Если гормон лютеиновой фазы в постоянном недостатке, то могут возникнуть следующие болезни:

  • миома матки;
  • эндометриоз;
  • гиперплазия эндометрия;
  • полип матки или цервикального канала;
  • кисты яичников.

При недостаточности лютеинового тела будут следующие симптомы:

  • невозможность забеременеть;
  • невынашивание;
  • нарушение цикла (задержка месячных, скудные кровянистые выделения за несколько дней до менструации).

При этих состояниях ничего не болит, менструации могут приходить вовремя, но возникают сложности с зачатием и вынашиванием эмбриона на первых неделях беременности. Оптимальный вариант диагностики – УЗИ.

С помощью этого метода можно оценить все этапы фолликулогенеза – как образовался фолликул, когда произошла овуляция и каковы размеры желтого тела. УЗИ поможет оценить толщину эндометрия, по которой можно судить о прогестероновой недостаточности.

Иногда возникает необходимость оценить состояние эндометрия с помощью аспирата или биопсии – гистология покажет недостаточную готовность эндометрия к приходу зародыша. В этом случае оптимальный вариант лечения – препарат Дюфастон по указанной врачом схеме.

Сохранение лютеинового тела

Если у женщины задержка месячных и положительный тест – это хорошо, но может быть ситуация, когда тест отрицательный. Возможная причина — персистенция желтого тела.

В этом случае гормон прогестерон продолжает вырабатываться, удлиняя 2 фазу. Ничего не болит, тест беременность не показывает, на УЗИ плодного яйца в матке нет, а эндометрий продолжает увеличиваться.

Можно ожидать следующих симптомов:

  • удлинение менструального цикла;
  • маточное кровотечение;

Неприятная особенность этой ситуации — отсутствие нормального процесса в яичнике: новый доминантный фолликул не образуется, что становится причиной бесплодия. На УЗИ врач обнаружит в яичнике образование, являющееся сохранившимся желтым телом. Если оценить состояние эндометрия, то результат гистологии покажет избыточную перестройку слизистой оболочки матки.

На фоне персистенции не надо пить препарат Дюфастон: врач назначит специальное лечение для восстановления гормональной функции яичника. Возможно, в будущем потребуется вновь оценить состояние эндометрия с помощью гистологии.

Киста лютеинового тела

Иногда может произойти скопление жидкости внутри кистозной полости, оставшейся в том месте, где был фолликул. В этом случае возникает киста лютеинового тела с нарушением гормональной функции: гормон прогестерон в крови у женщины будет уменьшаться. Неприятное осложнение – разрыв кисты желтого тела, когда будет болеть внизу живота и возникнет нарушение менструального цикла.

На УЗИ врач увидит в яичнике кистозное образование, в крови будет понижен гормон прогестерон, тест на овуляцию будет положителен, а месячные придут раньше времени. Лечение подразумевает прием таблеток – врач назначит препарат Дюфастон для поддержания 2 фазы и возможности желанного зачатия.

Если произойдет разрыв, то может потребоваться операция: сильные боли и внутреннее кровотечение не оставят врачу выбора.

Во время хирургического вмешательства надо зашить рану на яичнике, и взять биопсию – результат гистологии покажет, какой был вид кисты. После потребуется УЗИ для контроля.

Отсутствие желанного зачатия – это всегда трагедия для женщины. Необходимо выяснить причины, оценив с помощью УЗИ фолликулогенез. Функцию желтого тела лучше оценить при гормональном обследовании: гормон прогестерон в крови должен быть на определенном нормальном уровне.

Первый признак патологии – гормон ниже нормы. Для восстановления 2 фазы врач назначит препарат Дюфастон по схеме. Лечение может быть длительным по времени. Для оптимального контроля надо будет делать:

  • УЗИ;
  • тест на овуляцию;
  • анализ на гормон в крови.

Препарат Дюфастон используют на этапе подготовки к зачатию, и когда появился первый признак беременности – задержка месячных. Женщине надо сделать тест, и, увидев, что есть беременность, начать пить препарат Дюфастон в дозе, указанной врачом. Особенно это важно, если в прошлом есть факты невынашивания или если после операции результат гистологии показал недостаточность лютеинового тела.

Если есть любой вариант патологии желтого тела, то нельзя затягивать с диагностикой и лечением. Желательно сделать все необходимое для наступления зачатия.

При лютеиновой недостаточности надо принимать Дюфастон. Если тест на беременность положительный, то следует продолжить Дюфастон весь 1 триместр. Самостоятельно отменять Дюфастон нельзя, потому что это может стать причиной выкидыша.

Увидев долгожданный тест с 2 полосками, женщина обрадуется, но этот факт становится началом долгого и сложного пути, на котором могут быть препятствия. Лучше принимать по назначению таблетки, чем испытать горечь разочарования из-за рухнувшей мечты.

Источник: http://KarapuzDoma.ru/planirovanie-beremennosti/kakie-ginekologicheskie-bolezni-voznikayut-iz-za-zheltogo-tela.html

Насколько опасна персистенция фолликула: диагностика, признаки и лечение заболевания

Что такое персистирующее кистозное желтое тело

Нарушения гормонального фона в организме будущей матери могут происходить по различным причинам, к одной из которых относится такое явление как персистенция фолликула. Что же происходит при этом в организме женщины и несет ли опасность это состояние для ее репродуктивной системы.

Что собой представляет персистирующий фолликул яичника?

Под персистенцией понимают продолжительное сохранение доминантного фолликула без его разрыва и выходом готовой к оплодотворению яйцеклетки. Такое патологическое отклонение препятствует созданию условий зачатия и последующей беременности.

В дальнейшем «судьба» фолликула зависит от некоторых факторов и может быть различной:

  1. Готовая к оплодотворению яйцеклетка погибает, продолжая оставаться в пределах зачаточной клетки.
  2. Яйцеклетка не дозревает до фазы готовности и остается в неизменном состоянии.

Оставшийся ПФ может оставаться неизменной величины до первой фазы менструального цикла. Также возможно его увеличение в объеме и тогда врач диагностирует кисту яичника.

Такое патологические состояние может продолжаться на протяжении нескольких лет и впоследствии приведет к невозможности естественного зачатия. Есть и такие случаи, когда персистенция фолликула правого или левого яичника самопроизвольно рассасывалась или же сама зачаточная клетка выходила вместе с менструацией.

ДФ без овуляции превращается в желтое тело, которым осуществляется синтезирование прогестерона. Фолликул синтезирует данный гормон в меньшем количестве, при этом менструальный цикл может проходить без каких-либо изменений.

Симптомы и причины возникновения

Постоянно сохраняющийся уровень ЛГ в крови препятствует дозреванию яйцеклетки зачаточной клетки, что становится причиной преобразования последнего в желтое тело без фазы овуляции.

Нарушения, которые происходят в организме женщины, если у нее диагностируется персистенция фолликула, к примеру, слева, гинекологи-эндокринологи называют синдромом лютеинизации неовулировавшего пузырька – LUF или ЛНФ-синдром.

Признаками наличия подобного патологического заболевания являются:

  • отсутствие возможности естественного зачатия на протяжении 12 месяцев;
  • нарушения менструальной функции.

В случае бесплодия за 12 месяцев регулярной половой жизни без использования каких-либо средств предохранения от беременности, обследование назначается сразу обоим партнерам.

Справка! 30% бесплодия со стороны женщины спровоцировано ЛНФ-синдромом!

Чтобы установить такой диагноз, пациент должен провести ряд обследований и сделать несколько анализов. И только на основании полученных показателей изучения состоянии здоровья женщины врач может зафиксировать, что причиной невозможности естественного зачатия является ПФ яичника.

Все процессы, отвечающие за полноценную работу репродуктивной системы, контролируются гормонами. Поэтому появление персистенции связано непосредственно с нарушением гормонального фона. Больше причин развития такого патологического состояния не существует.

Выход яйцеклетки из ДФ не произойдет, если в организме будет низкий уровень прогестерона и лютеина.

Стать причиной снижения этих гормонов может:

  • сахарный диабет;
  • патологические заболевания, протекающие в острой форме;
  • травматизация гипофиза;
  • заболевания, связанные с нарушением функциональности щитовидной железы;
  • продолжительное воздействие на организм токсических, химических и медикаментозных препаратов;
  • наличие доброкачественной или злокачественной опухоли гипофиза.

Персистенция препятствует совуалированию яйцеклетке. У пациенток не только нет возможности естественного зачатия, но и на фоне продолжительного пребывания желтого тела в правом или левом яичнике происходит ухудшение самочувствия, а также развиваются всевозможные неприятные симптомы, среди которых: боли внизу живота, головокружения, недомогания и т.п.

Диагностика заболевания

Что такое персистенция мы разобрались, теперь поговорим о том, как же происходит диагностика болезни.

Сразу хотелось бы сказать, что диагностирование LUF-синдрома – это сложный процесс, требующий от врача особого внимания.

Показатели практически всех обследования характеризуются большим диапазоном нормальных результатов.

И кроме УЗИ-исследования, в ходе которого происходит наблюдение динамики роста фолликула в период предполагаемой овуляции, ценность остальных диагностических методик в силу индивидуальных особенностей организма женщины очень мала.

Персистенция желтого тела изучается после предполагаемой фазы овуляции при помощи таких методов:

  • ультразвуковое исследование – УЗИ;
  • магнитно-резонансная томография – МРТ;
  • лапароскопия.

Профилактика

Как таковой профилактики этого заболеваний нет. Правда, есть ряд рекомендаций, придерживаясь которых можно снизить к минимуму риск развития патологии:

  • ведение здорового образа жизни;
  • организация максимально правильного питания;
  • отказ от пагубных привычек;
  • здоровый сон;
  • прием гормональных препаратов только по назначению доктора.

И если у ваших родственников были зафиксированные нарушения гормонального фона, которые могут передаваться наследственным путем, то соблюдение всех описанных выше рекомендаций и регулярные обследований у специалистов помогут снизить риск развития каких-либо отклонений в работе эндокринной системы.

Итог

Такое состояние, как персистенция, является серьезной патологией, которая без должного внимания и своевременного лечения приводит к бесплодию. Но как бы то ни было, это патологические отклонение не приговор. Главное – не запускать его и не допустить, чтобы персистирущая зачаточная клетка переросла в кисту.

Регулярный контроль своего здоровья и ведение правильного образа жизни помогут предупредить нежелательные последствия заболевания.

А вы когда-нибудь сталкивались с подобной проблемой? Быть может, кто-то из ваших знакомых делился подобных опытом? Удачно ли было проведено лечение и удалось ли после этого забеременеть?

Источник: https://DaZachatie.ru/zabolevania/persistentsiya-follikula

Персистенция желтого тела: причины, симптомы, коррекция

Что такое персистирующее кистозное желтое тело

Персистенция зрелого желтого тела — цикл двух фаз с хорошей фолликулиновой и длительной до 20-25 дней лютеиновой. Вторая стадия сопутствуется чрезмерной выработкой прогестерона. Каждый раз, желтое тело, дойдя до периода расцвета, проходит персистенцию.

В эндометрии замечается продолжительная секреторная стадия, он разрастается вплоть до возникновения кровотечения. Оно напоминает месячные, но при этом эндометрий расслаивается раздельными зонами, там находят отек, диапедез эритроцитов и незначительные очаги некроза. Неотъемлемая при персистенции желтого тела — атрезия.

Она представляет собой уменьшение фолликула в размерах.

Патология выражается менструальноподобными кровотечениями длительностью 4-6 недель. Базальная температура не прекращается продолжительный период, не прослеживается ее свойственное предменструальное уменьшение.

Уровень секреции прогестерона довольно высок, отсутствует типичный предменструальный спад гестагенов. Огромное количество задерживает формирование нового фолликула, восстановление эндометрия замедлено. Во время изучения соскоба слизистой матки зачастую обнаруживаются децидуальные преобразования.

Болезнь порождает подозрение на зачатие либо прекращение беременности ранних сроков.

Вторая фаза в норме

Поближе к середине месячного цикла образовывается доминирующий фолликул. В период овуляции яйцеклетка покидает свое место пребывания, а на данном участке наступает процедура лютеинизации.

Если говорить проще, фолликул считается базой для желтого тела и закономерным продолжением репродуктивного процесса. Изнутри его закрывают гормональные клетки, что присутствуют в полости после прихода овуляции.

Непосредственно из данных клеточных структур образовывается лютеиновое тело, что проходит 3 периода:

  • формирование;
  • функционирование;
  • регресс.

Возможные патологии

Стандартное функционирование нужно для удерживания беременности. Когда же нет зачатия, то недостаток желтого тела выражается укорочением продолжительности месячного цикла.

Однако если даме получилось зачать, то для плодного яйца весьма важна степень прогестерона в крови будущей мамы. Тестостерон обязан регулярно и в необходимых долях обеспечивать удержание беременности и развитие будущего малыша.

Помимо многофункциональной недостаточности вероятны последующие разновидности патологии персистенции желтого тела в левом яичнике:

  • сохранение лютеинового тела, если отсутствует беременность;
  • лютеиновая атерома.

Каждый случай — это такое положение яичника, при котором нарушается эндокринная функция и отсутствует обеспечение женского организма нужными репродуктивными гормонами, что весьма немаловажно для сбережения плодного яйца уже после оплодотворения и эмбриона уже после задержки месячных.

Признаки каждого вида патологии наносят след на течение менструации. У девушек при многофункциональной недостаточности ничего не болит, а главный критерий — сложности с наступлением беременности.

Нехватка прогестерона воздействует на возможности зачатия и продолжительность месячного цикла. Признаки во многом будут зависеть от того, настала беременность либо отсутствует. В первом случае основной критерий – задержка месячных. Девушка делает тест и, увидев благоприятный результат, довольствуется наставшему зачатию.

Однако непосредственно в этот период весьма значима деятельность желтого тела: когда же нет соответствующего количества прогестерона, то следует употреблять препарат «Дюфастон». На стадии прегравидарной подготовки возможно заранее предугадать этот вариант патологии и вовремя помочь сберечь жизнедеятельность плодного яйца.

Беременность может не настать

В данном случае низкий уровень прогестерона может быть фактором для укорочения цикла и возникновения гормонального дисбаланса. В случае если тестостерон лютеиновой фазы в регулярном недостатке, то могут появиться последующие заболевания:

  • миома матки;
  • запущенный эндометриоз;
  • нелеченная гиперплазия эндометрия;
  • полип матки либо цервикального канала;
  • кисты яичников.

Как распознать?

При нехватке лютеинового тела появляются последующие признаки:

  • женщина не может забеременеть;
  • выкидыши на ранних сроках;
  • постоянные сбои в менструальном цикле.

При персистенции желтого тела в правом яичнике болевых ощущений не возникает, месячные идут в нормальном режиме, однако появляются трудности с зачатием и вынашиванием будущего малыша на ранних сроках. Наилучший вид диагностики — УЗИ.

С помощью данного способа возможно оценить стадии фолликулогенеза: как возник фолликул, когда случилась овуляция и каковы объемы желтого тела. Такое обследование оценит плотность эндометрия, затем возможно говорить о прогестероновой недостаточности.

В отдельных случаях появляется потребность оценить состояние эндометрия при содействии аспирата либо биопсии. Гистология продемонстрирует неготовность эндометрия к удержанию эмбриона. В данном случае оптимальный вид излечения — препарат «Дюфастон» по предложенной доктором схеме.

Лечение персистенции желтого тела яичника

Установив подобную патологию, прописывают курс терапии, куда введены гормоны. Необходимо использовать те фармацевтические вещества, что сумеют угнетать работу эстрогенов. Как правило, они необходимы с 5 по 9 дни цикла в течение многих месяцев.

Очень часто делают инъекции. Например, это прогестерон, прегин либо прочие лекарства. Уколы совершают за 9 дней вплоть до той даты, когда вероятнее всего возникнут месячные, продолжается курс от 5 вплоть до 7 суток.

Дополнительные методы

Помимо лекарственного излечения, используют также:

  • массаж;
  • терапия лазером;
  • ультразвук;
  • применение электростимуляции.

Лечение обязательно проходить под присмотром доктора, чтобы он имел возможность контролировать экскрецию гормонов. О ней возможно выяснить из исследований функциональной диагностики.

Излечение заболевания начинают с операции выскабливания слизистой. Когда локализуется в левом яичнике и продуцирует гормон, ставят заключение — персистенция желтого тела. Более простыми словами, снижен тонус матки, происходит отделение маточного покрова. По этой причине начинаются обильные месячные и длятся продолжительное время. Необходимо проверить в данном случае и состояние яичника.

Источник: https://FB.ru/article/462357/persistentsiya-jeltogo-tela-prichinyi-simptomyi-korrektsiya

Поделиться:
Нет комментариев

Добавить комментарий

Ваш e-mail не будет опубликован. Все поля обязательны для заполнения.